Main Page/SlicerCommunity/2017
Go to 2022 :: 2021 :: 2020 :: 2019 :: 2018 :: 2017 :: 2016 :: 2015 :: 2014-2011 :: 2010-2000
The community that relies on 3D Slicer is large and active: (numbers below updated on December 1st, 2023)
- 1,467,466+ downloads in the last 11 years (269,677 in 2023, 206,541 in 2022)
- over 17.900+ literature search results on Google Scholar
- 2,147+ papers on PubMed citing the Slicer platform paper
- Fedorov A., Beichel R., Kalpathy-Cramer J., Finet J., Fillion-Robin J-C., Pujol S., Bauer C., Jennings D., Fennessy F.M., Sonka M., Buatti J., Aylward S.R., Miller J.V., Pieper S., Kikinis R. 3D Slicer as an Image Computing Platform for the Quantitative Imaging Network. Magnetic Resonance Imaging. 2012 Nov;30(9):1323-41. PMID: 22770690. PMCID: PMC3466397.
- 39 events in open source hackathon series continuously running since 2005 with 3260 total participants
- Slicer Forum with +8,138 subscribers has approximately 275 posts every week
The following is a sample of the research performed using 3D Slicer outside of the group that develops it. in 2017
We monitor PubMed and related databases to update these lists, but if you know of other research related to the Slicer community that should be included here please email: marianna (at) bwh.harvard.edu.
Contents
- 1 2017
- 1.1 Quantitative Texture Analysis in the Prediction of IDH Status in Low-grade Gliomas
- 1.2 BRAF V600E Mutations a Significant Prognosticator of the Tumor Regrowth Rate in Brainstem Gangliogliomas
- 1.3 A "Jail Escape Technique" (JET) for Distal Side Branch Wiring during Provisional Stenting: Feasibility and First-in-man Study
- 1.4 Effect of Temporomandibular Joint Articular Disc Repositioning on Anterior Open-bite Malocclusion: An 0rthodontic-surgical Approach
- 1.5 Pool Size Ratio of the Substantia Nigra in Parkinson's Disease Derived from Two Different Quantitative Magnetization Transfer Approaches
- 1.6 Multiple Time Courses of Somatosensory Responses in Human Cortex
- 1.7 Intracranial High-γ Connectivity Distinguishes Wakefulness from Sleep
- 1.8 Preoperative Simulation Unveiled Undetected Surgical Difficulties in a Case of Cochlear Implantation
- 1.9 Investigating the Generalization of an Atlas-Based Synthetic-CT Algorithm to Another Centre and MR Scanner for Prostate MR-only Radiotherapy
- 1.10 Correlation of Volumetric Growth and Histological Grade in 50 Meningiomas
- 1.11 Handgrip Strength in Chronic Obstructive Pulmonary Disease. Associations with Acute Exacerbations and Body Composition
- 1.12 3D Printing in Neurosurgery: A Specific Model for Patients with Craniosynostosis
- 1.13 A Software Platform of Treatment Planning System for Radiotherapy Snake Robot
- 1.14 Computational Radiomics System to Decode the Radiographic Phenotype
- 1.15 Sex Differences in White Matter Alterations Following Repetitive Subconcussive Head Impacts in Collegiate Ice Hockey Players
- 1.16 Evaluation of the Novel TSPO Radiotracer [18F] VUIIS1008 in a Preclinical Model of Cerebral Ischemia in Rats
- 1.17 3D Printed Pathological Sectioning Boxes to Facilitate Radiological-Pathological Correlation in Hepatectomy Cases
- 1.18 The Functional Anatomy of Nerves Innervating the Ventral Grooved Blubber of Fin Whales (Balaenoptera Physalus)
- 1.19 Retrospective Evaluation and SEEG Trajectory Analysis for Interactive Multi-trajectory Planner Assistant
- 1.20 AAV-mediated Direct in vivo CRISPR Screen Identifies Functional Suppressors in Glioblastoma
- 1.21 Presurgical Planning for Supratentorial Lesions with Free 3D Slicer Software and Sina App
- 1.22 Canal Transportation, Unprepared Areas, and Dentin Removal after Preparation with BT-RaCe and ProTaper Next Systems
- 1.23 Three-Dimensional Volume Rendering of Pelvic Models and Paraurethral Masses Based on MRI Cross-Sectional Images
- 1.24 Comparison of Diffusion-Weighted MRI Reconstruction methods for Visualization of Cranial Nerves in Posterior Fossa Surgery
- 1.25 Nerve Atrophy in Trigeminal Neuralgia Due to Neurovascular Compression and its Association with Surgical Outcomes after Microvascular Decompression
- 1.26 A Comparative Study of Irrigation Versus no Irrigation during Burr Hole Craniostomy to Treat Chronic Subdural Hematoma
- 1.27 A New Genus of Hell Ants from the Cretaceous (Hymenoptera: Formicidae: Haidomyrmecini) with a Novel Head Structure
- 1.28 Improvement of Pyramidal Tract Side Effect Prediction using a Data-Driven Method in Subthalamic Stimulation
- 1.29 High Expression of Glypican-1 Predicts Dissemination and Poor Prognosis in Glioblastomas
- 1.30 Factors Affecting the Visual Outcome of Pituitary Adenoma Patients Treated with Endoscopic Transsphenoidal Surgery
- 1.31 Retrospective Validation of a Computer-Assisted Quantification Model of Intracerebral Hemorrhage Volume on Accuracy, Precision, and Acquisition Time, Compared with Standard ABC/2 Manual Volume Calculation
- 1.32 ROS-IGTL-Bridge: An Open Network Interface for Image-guided Therapy using the ROS Environment
- 1.33 Automated Catheter Navigation with Electromagnetic Image Guidance
- 1.34 Exercise Decreases Marrow Adipose Tissue Through ß-Oxidation in Obese Running Mice
- 1.35 Three‐Dimensional Printing: An Aid to Epidural Access for Neuromodulation
- 1.36 Quantitative CT ventriculography for Assessment and Monitoring of Hydrocephalus: a Pilot Study and Description of method in Subarachnoid Hemorrhage (SAH)
- 1.37 What are the True Volumes of SEGA Tumors? Reliability of Planimetric and Popular Semi-automated Image Segmentation Methods
- 1.38 MRI Visible Fe3O4 Polypropylene Mesh: 3D Reconstruction of Spatial Relation to Bony Pelvis and Neurovascular Structures
- 1.39 Three-Dimensional Printing of X-ray Computed Tomography Datasets with Multiple Materials using Open-source Data Processing
- 1.40 3D Print of the Maxillary Sinus for Morphological Study
- 1.41 Validity of Longitudinal Sections for Determining the Apical Constriction
- 1.42 MultiXplore: Visual Exploration Platform for Multimodal Neuroimaging Data
- 1.43 Shape, Septa and Scalloping of the Maxillary Sinus
- 1.44 Optimization of a Novel Large Field of View Distortion Phantom for MR-only Treatment Planning
- 1.45 Validation of a method for "Dose of the Day" Calculation in Head-neck Tomotherapy by using Planning CT-to-MVCT Deformable Image Registration
- 1.46 Nanoformulation of Olaparib Amplifies PARP Inhibition and Sensitizes PTEN/TP53-Deficient Prostate Cancer to Radiation
- 1.47 SLIDE: Automatic Spine Level Identification System using a Deep Convolutional Neural Network
- 1.48 The Use of Cone Beam Computed Tomography in Assessing the Insertion of Bone Conduction Hearing Implants
- 1.49 A New Approach for Radiosynoviorthesis: A Dose-Optimized Planning Method: Based on Monte Carlo Simulation and Synovial Measurement using 3D Slicer and MRI
- 1.50 Device-specific Evaluation of Intraventricular Left Ventricular Assist Device Position by Quantitative Coaxiality Analysis
- 1.51 Anser EMT: The First Open-Source Electromagnetic Tracking Platform for Image-Guided Interventions
- 1.52 The Effects of Iterative Reconstruction and Kernel Selection on Quantitative Computed Tomography Measures of Lung Density
- 1.53 Infantile Cranial Fasciitis: Case-based Review and Operative Technique
- 1.54 Biomaterial Shell Bending with 3D-printed Templates in Vertical and Alveolar Ridge Augmentation: A Technical Note
- 1.55 Application of the 3D Slicer Chest Imaging Platform Segmentation Algorithm for Large Lung Nodule Delineation
- 1.56 Theoretical Observation on Diagnosis Maneuver for Benign Paroxysmal Positional Vertigo
- 1.57 Clinical Outcomes of an Endoscopic Transclival and Transpetrosal Approach for Primary Skull Base Malignancies Involving the Clivus
- 1.58 1.5 T Augmented Reality Navigated Interventional MRI: Paravertebral Sympathetic Plexus Injections
- 1.59 From Medical Imaging Data to 3D Printed Anatomical Models
- 1.60 3D Printing and Modelling of Customized Implants and Surgical Guides for Non-human Primates
- 1.61 Accuracy of Mobile Biplane X-ray Imaging in Measuring 6-Degree-of-Freedom Patellofemoral Kinematics during Overground Gait
- 1.62 Quality of Radiomic Features in Glioblastoma Multiforme: Impact of Semi-Automated Tumor Segmentation Software
- 1.63 Prognostic Implications of the Subcellular Localization of Survivin in Glioblastomas Treated with Radiotherapy Plus Concomitant and Adjuvant Temozolomide
- 1.64 An Ovine Model of Cerebral Catheter Venography for Implantation of an Endovascular Neural Interface
- 1.65 Effectiveness of Endoscopic Surgery for Supratentorial Hypertensive Intracerebral Hemorrhage: A Comparison with Craniotomy
- 1.66 Asymmetry in Dentition and Shape of Pharyngeal Arches in the Clonal Fish Chrosomus Eos-neogaeus: Phenotypic Plasticity and Developmental Instability
- 1.67 Scanning Laser Optical Tomography for in Toto Imaging of the Murine Cochlea
- 1.68 Patient Education for Endoscopic Sinus Surgery: Preliminary Experience using 3D-Printed Clinical Imaging Data
- 1.69 Comprehensive Evaluation of Ten Deformable Image Registration Algorithms for Contour Propagation between CT and Cone-beam CT Images in Adaptive Head & Neck Radiotherapy
- 1.70 Interactive Outlining of Pancreatic Cancer Liver Metastases in Ultrasound Images
- 1.71 The Evolution of Cost-efficiency in Neural Networks during Recovery from Traumatic Brain Injury
- 1.72 Biomechanical Flow Amplification Arising From the Variable Deformation of the Subglottic Mucosa
- 1.73 HTC Vive MeVisLab Integration via OpenVR for Medical Applications
- 1.74 Accessing Microfluidics through Feature-based Design Software for 3D Printing
- 1.75 Revealing Cancer Subtypes with Higher-Order Correlations Applied to Imaging and Omics Data
- 1.76 A Study of Volumetric Variations of Basal Nuclei in the Normal Human Brain by Magnetic Resonance Imaging
- 1.77 Linear Relationship Found by Magnetic Resonance Imaging between Cerebrospinal Fluid Volume and Body Weight in Dogs
- 1.78 MITK-OpenIGTLink for Combining Open-Source Toolkits in Real-Time Computer-Assisted Interventions
- 1.79 Increased Cerebellar Gray Matter Volume in Head Chefs
- 1.80 Tumor Heterogeneity Assessed by Texture Analysis on Contrast-Enhanced CT in Lung Adenocarcinoma: Association with Pathologic Grade
- 1.81 SEEG Assistant: A 3D Slicer Extension to Support Epilepsy Surgery
- 1.82 Associations of Radiomic Data Extracted from Static and Respiratory-Gated CT Scans with Disease Recurrence in Lung Cancer Patients Treated with SBRT
- 1.83 Early Experiences of Planning Stereotactic Radiosurgery using 3D Printed Models of Eyes with Uveal Melanomas
- 1.84 Intra-rater Variability in Low-grade Glioma Segmentation
- 1.85 Hybrid Positron Emission Tomography Segmentation of Heterogeneous Lung Tumors using 3D Slicer: Improved Growcut Algorithm with Threshold Initialization
- 1.86 Pre-clinical Validation of Virtual Bronchoscopy using 3D Slicer
- 1.87 Anatomical Study and Locating Nasolacrimal Duct on Computed Topographic Image
- 1.88 Open Wedge High Tibial Osteotomy using Three-Dimensional Printed Models: Experimental Analysis using Porcine Bone
2017
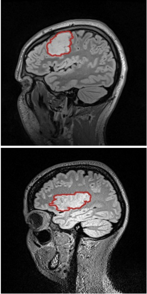
Quantitative Texture Analysis in the Prediction of IDH Status in Low-grade Gliomas
|
Publication: Clin Neurol Neurosurg. 2017 Dec 5;164:114-20. PMID: 29220731 | PDF Authors: Jakola AS, Zhang YH, Skjulsvik AJ, Solheim O, Bø HK, Berntsen EM, Reinertsen I, Gulati S, Förander P, Brismar TB. Institution: Department of Neurosurgery, Sahlgrenska University Hospital, Gothenburg, Sweden. Abstract: OBJECTIVES: Molecular markers provide valuable information about treatment response and prognosis in patients with low-grade gliomas (LGG). In order to make this important information available prior to surgery the aim of this study was to explore if molecular status in LGG can be discriminated by preoperative magnetic resonance imaging (MRI). PATIENTS AND METHODS: All patients with histopathologically confirmed LGG with available molecular status who had undergone a preoperative standard clinical MRI protocol using a 3T Siemens Skyra scanner during 2008-2015 were retrospectively identified. Based on Haralick texture parameters and the segmented LGG FLAIR volume we explored if it was possible to predict molecular status. RESULTS: In total 25 patients (nine women, average age 44) fulfilled the inclusion parameters. The textural parameter homogeneity could discriminate between LGG patients with IDH mutation (0.12, IQR 0.10-0.15) and IDH wild type (0.07, IQR 0.06-0.09, p=0.005). None of the other four analyzed texture parameters (energy, entropy, correlation and inertia) were associated with molecular status. Using ROC curves, the area under curve for predicting IDH mutation was 0.905 for homogeneity, 0.840 for tumor volume and 0.940 for the combined parameters of tumor volume and homogeneity. We could not predict molecular status using the four other chosen texture parameters (energy, entropy, correlation and inertia). Further, we could not separate LGG with IDH mutation with or without 1p19q codeletion. CONCLUSIONS: In this preliminary study using Haralick texture parameters based on preoperative clinical FLAIR sequence, the homogeneity parameter could separate IDH mutated LGG from IDH wild type LGG. Combined with tumor volume, these diagnostic properties seem promising. "A radiologist experienced with LGG assessment and segmentation (H.K.B) performed the semiquantitative data interpretation and did the tumor segmentation in 3D Slicer.
|
BRAF V600E Mutations a Significant Prognosticator of the Tumor Regrowth Rate in Brainstem Gangliogliomas
|
Publication: J Clin Neurosci. 2017 Dec;46:50-7. PMID: 28986151 Authors: Chen X, Pan C, Zhang P, Xu C, Sun Y, Yu H, Wu Y, Geng Y, Zuo P, Wu Z, Zhang J, Zhang L. Institution: Department of Neurosurgery, Beijing Tiantan Hospital, Capital Medical University, Beijing, China. Abstract: BRAF V600E mutations are progression factors in paediatric low-grade gliomas. Furthermore, a high percentage of paediatric brainstem gangliogliomas have BRAF V600E mutations. However, their clinical significance, including possible connections between the biomarkers and ganglioglioma's clinical features, especially a brainstem counterpart, is unclear. To identify potential molecular features predictive of brainstem ganglioglioma's clinical outcomes, a retrospective cohort of 28 World Health Organization (WHO) grade I brainstem gangliogliomas was analysed for BRAF V600E, IDH1 R132H, and IDH2 R172K mutations, TERT C228T/C250T promoter mutation, H3F3A K27M mutation and MGMT methylation. The volume of tumours was calculated accurately by using 3D Slicer software. The clinical data of these patients were retrospectively analysed. In tumours with BRAF V600E mutations, the tumour regrowth rate was significantly faster than that of the wild type group (p=0.001). Moreover, the BRAF V600E mutant group had shorter progression-free survival (PFS) compared with wild type (p=0.012). On multivariate analysis, no factor was found to be an independent prognostic factor; however, tumours with faster regrowth rates had a strong trend towards an increased risk for shorter PFS (HR=1.027, p=0.056). No statistical analysis could be performed to evaluate factors affecting overall survival (OS). These data suggest that BRAF V600E can predict the regrowth rate of brainstem gangliogliomas after microsurgery, and a BRAF V600E-targeted therapeutic may be a promising early intervention measure for patients who harbour BRAF V600E mutation after microsurgery. |
A "Jail Escape Technique" (JET) for Distal Side Branch Wiring during Provisional Stenting: Feasibility and First-in-man Study
|
Publication: J Interv Cardiol. 2017 Dec;30(6):527-34. PMID: 29094411 Authors: Xiao H, Chen S, Wang G, Du R, Song Y, Jin J, Huang L, Jabbour R, Azzalini L, Zhao X. Institution: Institution of Cardiovascular Research, Xinqiao Hospital, Third Military Medical University, Chongqing, China. Abstract: Objective: To evaluate the feasibility of a novel technique for achieving distal SB access and improve strut apposition during provisional stenting. Background: While distal rewiring and stent expansion toward the side branch (SB) are associated with better results during provisional stenting of coronary artery bifurcation lesions, these techniques are technically challenging and often leave unopposed struts near the carina. Methods: The "Jail Escape Technique" (JET) is performed by passing the proximal tip of the SB wire between the main vessel (MV) stent struts and balloon before implantation, allowing the MV stent to push the SB wire against the distal part of the carina. The MV stent can then be deployed without jailing the SB wire. Distal SB access and strut distribution at the carina were tested in phantom and swine models. Stent distortion, dislodgement forces, and material damage were evaluated with tensile testing. Human feasibility was then tested on 32 patients. Results: Preclinical testing demonstrated that the SB wire was located at the most distal part of the carina and no strut malapposition at the carina was present after balloon inflation. Stent distortion, dislodgement forces, or material damage were not affected. JET was successfully performed in 30 of 32 patients. No major adverse cardiovascular events occurred in any patient at 6-month follow-up. Conclusion: The "JET" enables distal SB access and eliminates strut malapposition at the carina. Further studies with larger numbers of patients are needed to further investigate this technique. "The images were segmented using 3D Slicer v3.6.3 to obtain both the lumen and stent geometry." |
Effect of Temporomandibular Joint Articular Disc Repositioning on Anterior Open-bite Malocclusion: An 0rthodontic-surgical Approach
|
Publication: Am J Orthod Dentofacial Orthop. 2017 Dec;152(6):848-58. PMID: 29173864 Authors: Bianchi J, Pinto ADS, Ignácio J, Obelenis Ryan DP, Gonçalves JR. Institution: Department of Pediatric Dentistry, Araraquara Dental School, Paulista State University, Araraquara, São Paulo, Brazil. Abstract: An anterior open bite is a challenge to orthodontic treatment; it has a multifactorial etiology and a wide range of intervention options. Temporomandibular joint (TMJ) disorders are a risk factor for the development of malocclusions such as the anterior open bite, especially in patients who have TMJ osteoarthritis with disc displacement. Articular disc repositioning surgery is an available option for treating this pathology, and it contributes to maintaining the condyles in a more stable position. The aim of this article was to report the case of a 20-year-old woman diagnosed with anterior open bite and TMJ osteoarthritis with bilateral disc displacement. The patient received both orthodontic treatment and TMJ disc repositioning surgery. Cone-beam computed tomography was used to create 3-dimensional models of the condyles with regional superposition, and assessment of bone remodeling was performed at different time intervals. Complete orthodontic and surgical treatment time was approximately 12 months. The results provided a stable correction of the patient's anterior open bite with a 2-year follow-up and favorable bone remodeling of the condyles due to functional improvement of the TMJ. "the same method of 3D model acquisition using 3D Slicer (SPHARM-PMD) and ITK-SNAP software during pretreatment was used for the 1-year posttreatment analysis." |
Pool Size Ratio of the Substantia Nigra in Parkinson's Disease Derived from Two Different Quantitative Magnetization Transfer Approaches
|
Publication: Neuroradiology. 2017 Dec;59(12):1251-63. PMID: 28986653 Authors: Trujillo P, Summers PE, Smith AK, Smith SA, Mainardi LT, Cerutti S, Claassen DO, Costa A. Institution: Department of Neuroradiology, Fondazione IRCCS Ca' Granda - Ospedale Maggiore Policlinico, Milan, MI, Italy. Abstract: Purpose: We sought to measure quantitative magnetization transfer (qMT) properties of the substantia nigra pars compacta (SNc) in patients with Parkinson's disease (PD) and healthy controls (HCs) using a full qMT analysis and determine whether a rapid single-point measurement yields equivalent results for pool size ratio (PSR). Methods: Sixteen different MT-prepared MRI scans were obtained at 3 T from 16 PD patients and eight HCs, along with B1, B0, and relaxation time maps. Maps of PSR, free and macromolecular pool transverse relaxation times ([Formula: see text], [Formula: see text]) and rate of MT exchange between pools (k mf ) were generated using a full qMT model. PSR maps were also generated using a single-point qMT model requiring just two MT-prepared images. qMT parameter values of the SNc, red nucleus, cerebral crus, and gray matter were compared between groups and methods. Results: PSR of the SNc was the only qMT parameter to differ significantly between groups (p < 0.05). PSR measured via single-point analysis was less variable than with the full MT model, provided slightly better differentiation of PD patients from HCs (area under curve 0.77 vs. 0.75) with sensitivity of 0.75 and specificity of 0.87, and was better than transverse relaxation time in distinguishing PD patients from HCs (area under curve 0.71, sensitivity 0.87, and specificity 0.50). Conclusion: The increased PSR observed in the SNc of PD patients may provide a novel biomarker of PD, possibly associated with an increased macromolecular content. Single-point PSR mapping with reduced variability and shorter scan times relative to the full qMT model appears clinically feasible. "Bilateral regions of interest (ROIs) in the SNc were segmented from the NM-MRI images using a thresholding method in the 3D Slicer v. 4.3.1 software package." Funding:
|
Multiple Time Courses of Somatosensory Responses in Human Cortex
|
Publication: Neuroimage. 2017 Dec 14;169:212-6. PMID: 29248698 Authors: Avanzini P, Pelliccia V, Lo Russo G, Orban GA, Rizzolatti G. Institution: CNR Institute of Neuroscience, National Research Council, Parma, Italy Abstract: Here we show how anatomical and functional data recorded from patients undergoing stereo-EEG can be used to decompose the cortical processing following nerve stimulation in different stages characterized by specific topography and time course. Tibial, median and trigeminal nerves were stimulated in 96 patients, and the increase in gamma power was evaluated over 11878 cortical sites. All three nerve datasets exhibited similar clusters of time courses: phasic, delayed/prolonged and tonic, which differed in topography, temporal organization and degree of spatial overlap. Strong phasic responses of the three nerves followed the classical somatotopic organization of SI, with no overlap in either time or space. Delayed responses presented overlaps between pairs of body parts in both time and space, and were confined to the dorsal motor cortices. Finally, tonic responses occurred in the perisylvian region including posterior insular cortex and were evoked by the stimulation of all three nerves, lacking any spatial and temporal specificity. These data indicate that the somatosensory processing following nerve stimulation is a multi-stage hierarchical process common to all three nerves, with the different stages likely subserving different functions. While phasic responses represent the neural basis of tactile perception, multi-nerve tonic responses may represent the neural signature of processes sustaining the capacity to become aware of tactile stimuli. "...multimodal scenes were built with the 3D Slicer software package." |
Intracranial High-γ Connectivity Distinguishes Wakefulness from Sleep
|
Publication: Neuroimage. 2017 Dec 8;169:265-77. PMID: 29225064 Authors: Mikulan E, Hesse E, Sedeño L, Bekinschtein T, Sigman M, García MDC, Silva W, Ciraolo C, García AM, Ibáñez A. Institution: Laboratory of Experimental Psychology and Neuroscience (LPEN), Institute of Cognitive and Translational Neuroscience (INCYT), INECO Foundation, Favaloro University, Buenos Aires, Argentina. Abstract: Neural synchrony in the γ-band is considered a fundamental process in cortical computation and communication and it has also been proposed as a crucial correlate of consciousness. However, the latter claim remains inconclusive, mainly due to methodological limitations, such as the spectral constraints of scalp-level electroencephalographic recordings or volume-conduction confounds. Here, we circumvented these caveats by comparing γ-band connectivity between two global states of consciousness via intracranial electroencephalography (iEEG), which provides the most reliable measurements of high-frequency activity in the human brain. Non-REM Sleep recordings were compared to passive-wakefulness recordings of the same duration in three subjects with surgically implanted electrodes. Signals were analyzed through the weighted Phase Lag Index connectivity measure and relevant graph theory metrics. We found that connectivity in the high-γ range (90-120 Hz), as well as relevant graph theory properties, were higher during wakefulness than during sleep and discriminated between conditions better than any other canonical frequency band. Our results constitute the first report of iEEG differences between wakefulness and sleep in the high-γ range at both local and distant sites, highlighting the utility of this technique in the search for the neural correlates of global states of consciousness. "Electrode location was determined by co-registering the patient's post-implant CT and MRI scans in the3D Slicer software." |
Preoperative Simulation Unveiled Undetected Surgical Difficulties in a Case of Cochlear Implantation
|
Publication: BMJ Case Rep. 2017 Dec 2;2017. PMID: 29197850 Authors: Matsumoto N, Yamashita M, Cho B, Hashizume M. Institution: Department of Otorhinolaryngology, Graduate School of Medical Sciences, Kyushu University, Fukuoka, Japan. Abstract: We herein report a case in which extensive preparation changed a difficult-to-treat patient into an easy one. We performed a revision cochlear implantation on a patient whose first procedure had been aborted due to unidentified difficulties. During a series of thorough three-dimensional simulations, we found that the patient in question had a normal cochlea but the cochlea was placed in an unusual position and orientation. This condition is difficult to detect on standard preoperative radiographic images. Through this simulation, we were able to propose a surgical plan to avoid making the same mistakes as the first surgeon. We present this case not as a rare difficult case of an unfortunate patient but instead emphasise the importance of performing surgical simulation and looking for non-obvious difficulties. This case is an example of the success that can be achieved with such extensive preparation. "We performed three-dimensional surgical simulation in the software program that we use for IGS 3D Slicer and Mimics, Materialise, Japan." |
Investigating the Generalization of an Atlas-Based Synthetic-CT Algorithm to Another Centre and MR Scanner for Prostate MR-only Radiotherapy
|
Publication: Phys Med Biol. 2017 Nov 21;62(24):N548-N560. PMID: 29076457 Authors: Wyatt J, Dowling JA, Kelly CG, McKenna J, Johnstone E, Speight R, Henry A, Greer PB, McCallum HM. Institution: Northern Centre for Cancer Care, Freeman Hospital, Newcastle upon Tyne Hospitals NHS Foundation Trust, UK and Northern Ireland. Abstract: There is increasing interest in MR-only radiotherapy planning since it provides superb soft-tissue contrast without the registration uncertainties inherent in a CT-MR registration. However MR images cannot readily provide the electron density information necessary for radiotherapy dose calculation. An algorithm which generates synthetic CT's for dose calculations from MR images of the prostate using an atlas of 3 T MR images has been previously reported by two of the authors. This paper aimed to evaluate this algorithm using MR data acquired at a different field strength and a different centre to the algorithm atlas. 21 prostate patients received planning 1.5 T MR and CT scans with routine immobilisation devices on a flat-top couch set-up using external lasers. The MR receive coils were supported by a coil bridge. Synthetic CT's were generated from the planning MR images with (sCT<sub>1V</sub>) and without (sCT) a one voxel body contour expansion included in the algorithm. This was to test whether this expansion was required for 1.5 T images. Both synthetic CT's were rigidly registered to the planning CT (pCT). A 6 MV Volumetric Modulated Arc Therapy plan was created on the pCT and recalculated on the sCT and sCT1V The synthetic CT's dose distributions were compared to the dose distribution calculated on the pCT. The percentage dose difference at isocentre without the body contour expansion (sCT - pCT) was ΔD<sub>sCT</sub> = (0.9 ± 0.8) % and with (sCT<sub>1V</sub> - pCT) was ΔD<sub>sCT1V</sub> = (-0.7 ± 0.7) % (mean ± one standard deviation). The sCT<sub>1V</sub> result was within one standard deviation of zero and agreed with the result reported previously using 3 T MR data. The sCT dose difference only agreed within two standard deviations. The mean ± one standard deviation gamma pass rate was Γ<sub>sCT</sub> = 96.1 ± 2.9% for the sCT and Γ<sub>sCT1V</sub> = 98.8 ± 0.5% for the sCT<sub>1V </sub>(with 2% global dose difference and 2 mm distance to agreement gamma criteria). The one voxel body contour expansion improves the synthetic CT accuracy for MR images acquired at 1.5 T but requires the MR voxel size to be similar to the atlas MR voxel size. This study suggests that the atlas-based algorithm can be generalised to MR data acquired using a different field strength at a different centre. "The gamma analysis was calculated using the SlicerRT toolkit within the open-source 3D Slicer application, version 4.6.2" |
Correlation of Volumetric Growth and Histological Grade in 50 Meningiomas
|
Publication: Acta Neurochir (Wien). Acta Neurochir (Wien). 2017 Nov;159(11):2169-77. PMID: 28791500 Authors: Soon WC, Fountain DM, Koczyk K, Abdulla M, Giri S, Allinson K, Matys T, Guilfoyle MR, Kirollos RW, Santarius T. Institution: Department of Neurosurgery, Cambridge University Hospitals NHS Foundation Trust, University of Cambridge, Cambridge, UK. Abstract: Introduction: Advances in radiological imaging techniques have enabled volumetric measurements of meningiomas to be easily monitored using serial imaging scans. There is limited literature on the relationship between tumour growth rates and the WHO classification of meningiomas despite tumour growth being a major determinant of type and timing of intervention. Volumetric growth has been successfully used to assess growth of low-grade glioma; however, there is limited information on the volumetric growth rate (VGR) of meningiomas. This study aimed to determine the reliability of VGR measurement in patients with meningioma, assess the relationship between VGR and 2016 WHO grading as well as clinical applicability of VGR in monitoring meningioma growth. Methods: All histologically proven intracranial meningiomas that underwent resection in a single centre between April 2009 and April 2014 were reviewed and classified according to the 2016 edition of the Classification of the Tumours of the CNS. Only patients who had two pre-operative scans that were at least 3 months apart were included in the study. Two authors performed the volumetric measurements using the 3D Slicer software independently and the inter-rater reliability was assessed. Multiple regression analyses of factors affecting the VGR and VDE of meningiomas were performed using the R statistical software with p < 0.05 considered to be statistically significant. Results: Of 548 patients who underwent resection of their meningiomas, 66 met the inclusion criteria. Sixteen cases met the exclusion criteria (NF2, spinal location, previous surgical or radiation treatment, significant intra-osseous component and poor quality imaging). Forty-two grade I and 8 grade II meningiomas were included in the analysis. The VGR was significantly higher for grade II meningiomas. using receiver-operator characteristic (ROC) curve analysis, the optimal threshold that distinguishes between grade I and II meningiomas is 3 cm3/year. Higher histological grade, high initial tumour volume, MRI T2-signal hyperintensity and presence of oedema were found to be significant predictors of higher VGR. Conclusion: Reliable tools now exist to evaluate and monitor volumetric growth of meningiomas. Grade II meningiomas have significantly higher VGR compared with grade I meningiomas and growth of more than 3 cm3/year is strongly suggestive of a higher grade meningioma. A larger, multi-centre prospective study to investigate the applicability of velocity of growth to predict the outcome of patients with meningioma is warranted. |
Handgrip Strength in Chronic Obstructive Pulmonary Disease. Associations with Acute Exacerbations and Body Composition
|
Publication: Ann Am Thorac Soc. 2017 Nov;14(11):1638-45. PMID: 29090990 Authors: Martinez CH, Diaz AA, Meldrum CA, McDonald MN, Murray S, Kinney GL, Hokanson JE, Curtis JL, Bowler RP, Han MK, Washko GR, Regan EA; COPDGene Investigators. Institution: Division of Pulmonary and Critical Care Medicine, University of Michigan, Ann Arbor, MI. Abstract: Rationale: Handgrip strength (HGS) predicts mortality in the elderly, but its determinants and clinical significance in chronic obstructive pulmonary disease (COPD) has not been defined. Objectives: We tested associations of HGS with pectoralis muscle area (PMA), subcutaneous adipose tissue (SAT), imaging characteristics, and lung function in smokers with COPD, and evaluated the cross-sectional and longitudinal associations of HGS with acute respiratory events. Methods: We analyzed demographic, clinical, spirometry, HGS, and imaging data of 272 subjects with COPD, obtaining measures of airway thickness, emphysema, PMA, and SAT from chest computed tomography scans. We tested associations of lung function and imaging characteristics with HGS, using linear models. HGS association to acute respiratory events at enrollment and during follow-up (mean, 2.6 years) was analyzed using adjusted logistic models. Results: HGS correlated with PMA, SAT, forced expiratory volume, and airway thickness, but not with body mass index or emphysema severity. In adjusted regression models, HGS was directly (β, 1.5; 95% confidence interval [CI], 0.1-3.0) and inversely (β, -3.3; 95% CI, -5.1 to -0.9) associated with one standard deviation of PMA and SAT, respectively, independent of body mass index and emphysema. In regression models adjusted for age, sex, body mass index, race, pack-years smoked, current smoking, chronic bronchitis, FEV1% predicted, emphysema, and airway metrics, HGS was associated with exacerbation risk; in cross-sectional analyses, there was an increment of 5% in the risk of exacerbations for each 1-kg decrement in HGS (risk ratio, 1.05; 95% CI, 1.01-1.08), and there was a similar risk during follow-up (risk ratio, 1.04; 95% CI, 1.01-1,07). Conclusions: In ever-smokers with COPD, HGS is associated with computed tomography markers of body composition and airway thickness, independent of body mass index and emphysema. Higher HGS is associated with lower exacerbation frequency. "Pectoralis muscle (PMA) and subcutaneous adipose tissue (SAT) areas were measured by trained analysts unaware of participants' clinical data, using 3D Slicer software." |
3D Printing in Neurosurgery: A Specific Model for Patients with Craniosynostosis
|
Publication: Neurocirugia (Astur). 2017 Nov-Dec;28(6):260-5. PMID: 28666846 Authors: Sollmann N, Echlin PS, Schultz V, Viher PV, Lyall AE, Tripodis Y, Kaufmann D Hartl E, Kinzel P, Forwell LA, Johnson AM, Skopelja EN, Lepage C, Bouix S, Pasternak O, Lin AP, Shenton ME, Koerte IK. Institution: School of Medicine, University of Navarra, Pamplona, Spain. Abstract: Introduction: Craniosynostosis is a rare condition and requires a personalised surgical approach, which is why we consider the use of 3D printed models beneficial in the surgical planning of this procedure. Material and Methods: Acrylonitrile butadiene styrene plastic skull models were designed and printed from CT images of patients between 3 and 6 months of age with craniosynostosis of different sutures. The models were used to simulate surgical procedures. Results: Four models of four patients with craniosynostosis were produced: two with closure of the metopic suture and two with sagittal suture closure. The mean age of the patients was 5 months (3-6m) and the mean duration of the surgery was 286min (127-380min). The acrylonitrile butadiene styrene plastic models printed for the project proved to be optimal for the simulation of craniosynostosis surgeries, both anatomically and in terms of mechanical properties and reaction to surgical instruments. Conclusions: 3D printers have a wide range of medical applications and they offer an easy and affordable way to produce skull models. The acrylonitrile butadiene styrene material is suitable for the production of operable bone models as it faithfully reproduces the mechanical characteristics of bone tissue. "Computed tomography images were processed using 3D Slicer software to extract only those data corresponding to bone density..." |
A Software Platform of Treatment Planning System for Radiotherapy Snake Robot
|
Publication: Zhongguo Yi Liao Qi Xie Za Zhi. 2017 Nov 30;41(6):391-4. PMID: 29862694 Authors: Li Y, Zou L, Xie Y, Xiong J. Institution: Shenzhen Institutes of Advanced Technology, Chinese Academy of Sciences, Shenzhen, China. Abstract: A software platform integrated of radiation treatment planning system and navigation system has been developed for a newly-developed snake robot. This platform is developed in a module-plugin form based on 3D Slicer medical image visualization and analysis application platform and an open-source toolkit SlicerRT. The platform realized function modules of image access and visualization, image segmentation, radiation path planning, treatment planning evaluation and optical navigation, and has provided the snake robot an extensible software experiment platform. It is beneficial for the brachytherapy research work and experiments. |
Computational Radiomics System to Decode the Radiographic Phenotype
|
Publication: Cancer Res. 2017 Nov 1;77(21):e104-e107. PMID: 29092951 | PDF Authors: van Griethuysen JJM, Fedorov A, Parmar C, Hosny A, Aucoin N, Narayan V, Beets-Tan RGH, Fillion-Robin JC, Pieper S, Aerts HJWL. Institution: Department of Radiation Oncology, Dana-Farber Cancer Institute, Brigham and Women's Hospital, Harvard Medical School, Boston, MA, USA. Abstract: Radiomics aims to quantify phenotypic characteristics on medical imaging through the use of automated algorithms. Radiomic artificial intelligence (AI) technology, either based on engineered hard-coded algorithms or deep learning methods, can be used to develop noninvasive imaging-based biomarkers. However, lack of standardized algorithm definitions and image processing severely hampers reproducibility and comparability of results. To address this issue, we developed PyRadiomics, a flexible open-source platform capable of extracting a large panel of engineered features from medical images. PyRadiomics is implemented in Python and can be used standalone or using 3D Slicer. Here, we discuss the workflow and architecture of PyRadiomics and demonstrate its application in characterizing lung lesions. Source code, documentation, and examples are publicly available at www.radiomics.io With this platform, we aim to establish a reference standard for radiomic analyses, provide a tested and maintained resource, and to grow the community of radiomic developers addressing critical needs in cancer research. |
A, Overview figure of the process of PyRadiomics. First, medical images are segmented. Second, features are extracted using the PyRadiomics platform, and third, features are analyzed for associations with clinical or biologic factors. B, Stability of radiomics features for variation in manual segmentations by expert radiologists. C, Heatmap showing expression values of radiomics features (rows) of 429 lesions (columns). Note the four subtypes that could be identified from the expression values and their associations with malignancy. D, Area under the curve (AUC) showing the performance of the multivariate biomarker to predict malignancy of nodules. |
Sex Differences in White Matter Alterations Following Repetitive Subconcussive Head Impacts in Collegiate Ice Hockey Players
|
Publication: Neuroimage Clin. 2017 Nov 21;17:642-649. PMID: 29204342 | PDF Authors: Sollmann N, Echlin PS, Schultz V, Viher PV, Lyall AE, Tripodis Y, Kaufmann D Hartl E, Kinzel P, Forwell LA, Johnson AM, Skopelja EN, Lepage C, Bouix S, Pasternak O, Lin AP, Shenton ME, Koerte IK. Institution: Psychiatry Neuroimaging Laboratory, Brigham and Women's Hospital, Harvard Medical School, Boston, MA, USA. Abstract: Objective: Repetitive subconcussive head impacts (RSHI) may lead to structural, functional, and metabolic alterations of the brain. While differences between males and females have already been suggested following a concussion, whether there are sex differences following exposure to RSHI remains unknown. The aim of this study was to identify and to characterize sex differences following exposure to RSHI. Methods: Twenty-five collegiate ice hockey players (14 males and 11 females, 20.6 ± 2.0 years), all part of the Hockey Concussion Education Project (HCEP), underwent diffusion-weighted magnetic resonance imaging (dMRI) before and after the Canadian Interuniversity Sports (CIS) ice hockey season 2011-2012 and did not experience a concussion during the season. Whole-brain tract-based spatial statistics (TBSS) were used to compare pre- and postseason imaging in both sexes for fractional anisotropy (FA), mean diffusivity (MD), axial diffusivity (AD), and radial diffusivity (RD). Pre- and postseason neurocognitive performance were assessed by the Immediate Post-Concussion Assessment and Cognitive Test (ImPACT). Results: Significant differences between the sexes were primarily located within the superior longitudinal fasciculus (SLF), the internal capsule (IC), and the corona radiata (CR) of the right hemisphere (RH). In significant voxel clusters (p < 0.05), decreases in FA (absolute difference pre- vs. postseason: 0.0268) and increases in MD (0.0002), AD (0.00008), and RD (0.00005) were observed in females whereas males showed no significant changes. There was no significant correlation between the change in diffusion scalar measures over the course of the season and neurocognitive performance as evidenced from postseason ImPACT scores. Conclusions: The results of this study suggest sex differences in structural alterations following exposure to RSHI. Future studies need to investigate further the underlying mechanisms and association with exposure and clinical outcomes. "First, quality checks were performed by visually inspecting diffusion-weighted data sets using 3D Slicer version 4.5., Surgical Planning Laboratory, Brigham and Women's Hospital, Boston, MA, USA)" Funding:
|
Evaluation of the Novel TSPO Radiotracer [18F] VUIIS1008 in a Preclinical Model of Cerebral Ischemia in Rats
|
Publication: EJNMMI Res. 2017 Nov 25;7(1):93. PMID: 29177913 | PDF Authors: Pulagam KR, Colás L, Padro D, Plaza-García S, Gómez-Vallejo V, Higuchi M, Llop J, Martín A. Institution: Radiochemistry and Nuclear Imaging, Molecular Imaging Unit, CIC biomaGUNE, San Sebastian, Spain. Abstract: Background: In vivo positron-emission tomography (PET) imaging of transporter protein (TSPO) expression is an attractive and indispensable tool for the diagnosis and therapy evaluation of neuroinflammation after cerebral ischemia. Despite several radiotracers have shown an excellent capacity to image neuroinflammation, novel radiotracers such as [18F] VUIIS1008 have shown promising properties to visualize and quantify the in vivo expression of TSPO. Methods: Longitudinal in vivo magnetic resonance (MRI) and PET imaging studies with the novel TSPO radiotracer 2-(5,7-diethyl-2-(4-(2-[18F] fluoroethoxy) phenyl) pyrazolo [1,5-a] pyrimidin-3-yl)-N, N-diethylacetamide ([18F] VUIIS1008), and (N, N-diethyl-2-(2-[4-(2-fluoroethoxy)-phenyl]-5,7-dimethyl-pyrazolo [1,5-a] yrimidin-3-yl)-acetamide ([18F] DPA-714) were carried out before and at days 1, 3, 7, 14, 21, and 28 following the transient middle cerebral artery occlusion (MCAO) in rats. Results: MRI images showed the extension and evolution of the brain infarction after ischemic stroke in rats. PET imaging with [18F] VUIIS1008 and [18F] DPA714 showed a progressive increase in the ischemic brain hemisphere during the first week, peaking at day 7 and followed by a decline from days 14 to 28 after cerebral ischemia. [18F] DPA714 uptake showed a mild uptake increase compared to [18F] VUIIS1008 in TSPO-rich ischemic brain regions. In vivo [18F] VUIIS1008 binding displacement with VUIIS1008 was more efficient than DPA714. Finally, immunohistochemistry confirmed a high expression of TSPO in microglial cells at day 7 after the MCAO in rats. Conclusions: Altogether, these results suggest that [18F] VUIIS1008 could become a valuable tool for the diagnosis and treatment evaluation of neuroinflammation following ischemic stroke. "Regions of interest (ROIs) were manually defined using the Open Source software 3D Slicer image analysis software (Version 3.6.3)." Funding:
|
Normalized PET images of [18F] VUIIS1008 and displacements by VUIIS1008 and DPA-714. PET images (ID%/cc) of the coronal and horizontal planes at the level of the lesion from left to right. Summed images of [18F] VUIIS1008 before displacement (0 to 20 min) and after displacement (40 to 60 min) by VUIIS1008 (upper row) and by DPA-714 (lower row). PET images were co-registered with a rat brain atlas for illustration of anatomical regions. |
3D Printed Pathological Sectioning Boxes to Facilitate Radiological-Pathological Correlation in Hepatectomy Cases
|
Publication: J Clin Pathol. 2017 Nov;70(11):984-7. PMID: 28596154 Authors: Trout AT, Batie MR, Gupta A, Sheridan RM, Tiao GM, Towbin AJ. Institution: Department of Radiology, Cincinnati Children's Hospital Medical Center, Cincinnati, OH, USA. Abstract: Radiogenomics promises to identify tumour imaging features indicative of genomic or proteomic aberrations that can be therapeutically targeted allowing precision personalised therapy. An accurate radiological-pathological correlation is critical to the process of radiogenomic characterisation of tumours. An accurate correlation, however, is difficult to achieve with current pathological sectioning techniques which result in sectioning in non-standard planes. The purpose of this work is to present a technique to standardise hepatic sectioning to facilitateradiological-pathological correlation. We describe a process in which three-dimensional (3D)-printed specimen boxes based on preoperative cross-sectional imaging (CT and MRI) can be used to facilitate pathological sectioning in standard planes immediately on hepatic resection enabling improved tumour mapping. We have applied this process in 13 patients undergoing hepatectomy and have observed close correlation between imaging and gross pathology in patients with both unifocal and multifocal tumours. Following image review, a clinical engineering specialist (MRB) digitally isolates the liver from the cross-sectional imaging study using open-source software 3D Slicer. |
The Functional Anatomy of Nerves Innervating the Ventral Grooved Blubber of Fin Whales (Balaenoptera Physalus)
|
Publication: Anat Rec. 2017 Nov;300(11):1963-72. PMID: 28971627 | PDF Authors: Vogl W, Petersen H, Adams A, Lillie MA, Shadwick RE. Institution: Department of Cellular and Physiological Sciences, Life Sciences Centre, Faculty of Medicine, University of British Columbia, Vancouver, BC, Canada. Abstract: Nerves that supply the floor of the oral cavity in rorqual whales are extensible to accommodate the dramatic changes in tissue dimensions that occur during "lunge feeding" in this group. We report here that the large nerves innervating the muscle component of the ventral grooved blubber (VGB) in fin whales are branches of cranial nerve VII (facial nerve). Therefore, the muscles of the VGB are homologous to second branchial arch derived muscles, which in humans include the muscles of "facial expression." We speculate, based on the presence of numerous foramina on the dorsolateral surface of the mandibular bones, that general sensation from the VGB likely is carried by branches of the mandibular division (V3) of cranial nerve V (trigeminal nerve), and that these small branches travel in the lipid-rich layer directly underlying the skin. We show that intercostal and phrenic nerves, which are not extensible, have a different wall and nerve core morphology than the large VGB nerves that are branches of VII. Although these VGB nerves are known to have two levels of waviness, the intercostal and phrenic nerves have only one in which the nerve fascicles in the nerve core are moderately wavy. In addition, the VGB nerves have inner and outer parts to their walls with numerous large elastin fibers in the outer part, whereas intercostal and phrenic nerves have single walls formed predominantly of collagen. Our results illustrate that overall nerve morphology depends greatly on location and the forces to which the structures are exposed. "The relevant anatomy was reconstructed using 3D Slicer software." |
Retrospective Evaluation and SEEG Trajectory Analysis for Interactive Multi-trajectory Planner Assistant
|
Publication: Int J Comput Assist Radiol Surg. 2017 Oct;12(10):1727-38. PMID: 28710548 Authors: Scorza D, De Momi E, Plaino L, Amoroso G, Arnulfo G, Narizzano M, Kabongo L, Cardinale F. Institution: e-Health and Biomedical Applications Department, Vicomtech-IK4, Donostia-San Sebastián, Spain. Abstract: Purpose: Focal epilepsy is a neurological disease that can be surgically treated by removing area of the brain generating the seizures. The stereotactic electroencephalography (SEEG) procedure allows patient brain activity to be recorded in order to localize the onset of seizures through the placement of intracranial electrodes. The planning phase can be cumbersome and very time consuming, and no quantitative information is provided to neurosurgeons regarding the safety and efficacy of their trajectories. In this work, we present a novel architecture specifically designed to ease the SEEG trajectory planning using the 3D Slicer platform as a basis. Methods: Trajectories are automatically optimized following criteria like vessel distance and insertion angle. Multi-trajectory optimization and conflict resolution are optimized through a selective brute force approach based on a conflict graph construction. Additionally, electrode-specific optimization constraints can be defined, and an advanced verification module allows neurosurgeons to evaluate the feasibility of the trajectory. Results: A retrospective evaluation was performed using manually planned trajectories on 20 patients: the planning algorithm optimized and improved trajectories in 98% of cases. We were able to resolve and optimize the remaining 2% by applying electrode-specific constraints based on manual planning values. In addition, we found that the global parameters used discards 68% of the manual planned trajectories, even when they represent a safe clinical choice. Conclusions: Our approach improved manual planned trajectories in 98% of cases in terms of quantitative indexes, even when applying more conservative criteria with respect to actual clinical practice. The improved multi-trajectory strategy overcomes the previous work limitations and allows electrode optimization within a tolerable time span. |
AAV-mediated Direct in vivo CRISPR Screen Identifies Functional Suppressors in Glioblastoma
|
Publication: Nat Neurosci. 2017 Oct;20(10):1329-41. PMID: 28805815 | PDF Authors: Chow RD, Guzman CD, Wang G, Schmidt F, Youngblood MW, Ye L, Errami Y, Dong MB, Martinez MA, Zhang S, Renauer P, Bilguvar K, Gunel M, Sharp PA, Zhang F, Platt RJ, Chen S. Institution: Department of Genetics, Yale University School of Medicine, New Haven, CT, USA. Abstract: A causative understanding of genetic factors that regulate glioblastoma pathogenesis is of central importance. Here we developed an adeno-associated virus-mediated, autochthonous genetic CRISPR screen in glioblastoma. Stereotaxic delivery of a virus library targeting genes commonly mutated in human cancers into the brains of conditional-Cas9 mice resulted in tumors that recapitulate human glioblastoma. Capture sequencing revealed diverse mutational profiles across tumors. The mutation frequencies in mice correlated with those in two independent patient cohorts. Co-mutation analysis identified co-occurring driver combinations such as B2m-Nf1, Mll3-Nf1 and Zc3h13-Rb1, which were subsequently validated using AAV minipools. Distinct from Nf1-mutant tumors, Rb1-mutant tumors are undifferentiated and aberrantly express homeobox gene clusters. The addition of Zc3h13 or Pten mutations altered the gene expression profiles of Rb1 mutants, rendering them more resistant to temozolomide. Our study provides a functional landscape of gliomagenesis suppressors in vivo. "Raw image stacks were processed using Osirix or 3D Slicer tools. Rendering and quantification were performed using 3D Slicer." Funding:
|
Autochthonous brain tumorigenesis induced by an AAV-mediated CRISPR library. (a) Schematics of direct in vivo AAV-CRISPR GBM screen design. Top: AAV-mTSG library design, synthesis and production. Bottom: stereotaxic injection of AAV library and subsequent analysis. HPF, hippocampus; LV, lateral ventricle. (b) MRI sections show brain tumors in AAV-mTSG injected mice but not in PBS- or AAV-vector-injected mice. Matching sections are shown. Arrowheads indicate brain tumors. Scale bar, 5 mm. (c) MRI-based volumetric quantification of time-matched tumor size ± s.e.m. Two-tailed Welch’s t test, t17 = 2.62, P = 0.018, mTSG vs. vector or PBS (PBS, n = 2 mice; vector, n = 6; mTSG, n = 18). (d) Kaplan-Meier curves for overall survival (OS) of mice injected with PBS (n = 5), AAV-vector (n = 24) or AAV-mTSG library (n = 56). OS for PBS and vector groups are both 100%; the curves are dashed and slightly offset for visibility; dpi, days postinjection. Log-rank (LR) test, P < 2.20 × 10−16, mTSG vs. vector or PBS. |
Presurgical Planning for Supratentorial Lesions with Free 3D Slicer Software and Sina App
|
Publication: World Neurosurg. 2017 Oct;106:193-7. PMID: 28673889 Authors: Chen JG, Han KW, Zhang DF, Li ZX, Li YM, Hou LJ. Institution: Department of Neurosurgery, Shanghai Neurosurgical Institute, Changzheng Hospital, Shanghai, China. Abstract: Background: Neuronavigation system is widely used in the localization of intracranial lesions with satisfactory accuracy. However, it's expensive and difficult to learn. Therefore, simple and practical augmented reality (AR) system using mobile devices might be an alternative technique. Objective: We aim to introduce a mobile AR system for the localization of supratentorial lesions. Its practicability and accuracy were examined by clinical application in patients and comparison with standard neuronavigation system. Methods: Three-dimensional (3D) model including lesions is created using 3D Slicer. 2D image of this 3D model was obtained and overlapped on patients' head using Sina app. Registration was conducted with the assistance of anatomical landmarks and fiducial markers. Center of lesion projected on scalp was identified with our mobile AR system and standard neuronavigation system, respectively. Distance difference between centers identified by these two systems was measured. Result: Our mobile AR system was simple and accurate in the localization of supratentorial lesions with a mean distance difference of 4.4 ± 1.1 mm. Registration added on an average of 141.7 ± 39 seconds to operation time. There was no statistically significant difference for the required time among three registrations (P=0.646). Conclusion: The mobile AR system presents an alternative technology for image-guided neurosurgery and proves to be practical and reliable. The technique contributes to optimal presurgical planning for supratentorial lesions, especially in the absence of neuronavigation system. |
Canal Transportation, Unprepared Areas, and Dentin Removal after Preparation with BT-RaCe and ProTaper Next Systems
|
Publication: J Endod. 2017 Oct;43(10):1683-7. PMID: 28712638 Authors: Brasil SC, Marceliano-Alves MF, Marques ML, Grillo JP, Lacerda MFLS, Alves FRF, Siqueira JF Jr, Provenzano JC. Institution: Department of Endodontics, Faculty of Dentistry, Estácio de Sá University, Rio de Janeiro, Brazil. Abstract: Background: This study compared the shaping ability of ProTaper Next (Dentsply Sirona, Tulsa, OK) and BT-RaCe (FKG Dentaire, La Chaux-de-Fonds, Switzerland) instrument systems in the mesial canals of mandibular molars using micro-computed tomographic (micro-CT) imaging. Methods: A total of 17 type IV mesial roots of extracted first mandibular molars were scanned using micro-CT imaging before and after root canal preparation with the 2 instrument systems. Both systems were used in the same root but alternating the mesial canals from root to root. The following parameters were analyzed: root canal volume, surface area, unprepared surface areas, transportation, canal/root width ratio, and preparation time. Results: There were no statistically significant differences between the 2 systems for all evaluated parameters (P > .05). The unprepared surface areas for the full canal length and the apical 5-mm segment were 33% and 14% for BT-RaCe and 31% and 14% for ProTaper Next, respectively. After preparation, all root canals had a diameter that was not larger than 35% of the root diameter at the coronal and middle segments. Conclusions: The 2 systems showed no differences in any of the evaluated shaping parameters. None of the tested systems put the roots at risk of fracture because of excessive dentin removal. |
Three-Dimensional Volume Rendering of Pelvic Models and Paraurethral Masses Based on MRI Cross-Sectional Images
|
Publication: Int Urogynecol J. 2017 Oct;28(10):1579-87. PMID: 28352953 Authors: Doumouchtsis SK, Nazarian DA, Gauthaman N, Durnea CM, Munneke G. Institution: Department of Obstetrics & Gynecology, Epsom and St. Helier University Hospital NHS Trust, Epsom, UK. Abstract: Aims: Our aim was to assess the feasibility of rendering 3D pelvic models using magnetic resonance imaging (MRI) scans of patients with vaginal, urethral and paraurethral lesions and obtain additional information previously unavailable through 2D imaging modalities. Methods: A purposive sample of five female patients 26-40 years old undergoing investigations for vaginal or paraurethral mass was obtained in a tertiary teaching hospital. 3D volume renderings of the bladder, urethra and paraurethral masses were constructed using 3D Slicer v.3.4.0. Spatial dimensions were determined and compared with findings from clinical, MRI, surgical and histopathological reports. The quality of information regarding size and location of paraurethral masses obtained from 3D models was compared with information from cross-sectional MRI and review of clinical, surgical and histopathological findings. Results: The analysis of rendered 3D models yielded detailed anatomical dimensions and provided information that was in agreement and in higher detail than information based on clinical examination, cross-sectional 2D MRI analysis and histopathological reports. High-quality pelvic 3D models were rendered with the characteristics and resolution to allow identification and detailed viewing of the spatial relationship between anatomical structures. Conclusions: To our knowledge, this is the first preliminary study to evaluate the role of MRI-based 3D pelvic models for investigating paraurethral masses. This is a feasible technique and may prove a useful addition to conventional 2D MRI. Further prospective studies are required to evaluate this modality for investigating such lesions and planning appropriate management. |
Comparison of Diffusion-Weighted MRI Reconstruction methods for Visualization of Cranial Nerves in Posterior Fossa Surgery
|
Publication: Front Neurosci. 2017 Oct 9;11:554. PMID: 29062268 | PDF Authors: Behan B, Chen DQ, Sammartino F, DeSouza DD, Wharton-Shukster E, Hodaie M. Institution: Division of Brain, Imaging and Behaviour - Systems Neuroscience, Krembil Institute, University Health Network, Toronto, ON, Canada. Abstract: Diffusion-weighted imaging (DWI)-based tractography has gained increasing popularity as a method for detailed visualization of white matter (WM) tracts. Different imaging techniques, and more novel, advanced imaging methods provide significant WM structural detail. While there has been greater focus on improving tract visualization for larger WM pathways, the relative value of each method for cranial nerve reconstruction and how this methodology can assist surgical decision-making is still understudied. Images from 10 patients with posterior fossa tumors (4 male, mean age: 63.5), affecting either the trigeminal nerve (CN V) or the facial/vestibular complex (CN VII/VIII), were employed. Three distinct reconstruction methods [two tensor-based methods: single diffusion tensor tractography (SDT) 3D Slicer, eXtended streamline tractography (XST), and one fiber orientation distribution (FOD)-based method: streamline tractography using constrained spherical deconvolution (CSD)-derived estimates (MRtrix3)], were compared to determine which of these was best suited for use in a neurosurgical setting in terms of processing speed, anatomical accuracy, and accurate depiction of the relationship between the tumor and affected CN. Computation of the tensor map was faster when compared to the implementation of CSD to provide estimates of FOD. Both XST and CSD-based reconstruction methods tended to give more detailed representations of the projections of CN V and CN VII/VIII compared to SDT. These reconstruction methods were able to more accurately delineate the course of CN V and CN VII/VIII, differentiate CN V from the cerebellar peduncle, and delineate compression of CN VII/VIII in situations where SDT could not. However, CSD-based reconstruction methods tended to generate more invalid streamlines. XST offers the best combination of anatomical accuracy and speed of reconstruction of cranial nerves within this patient population. Given the possible anatomical limitations of single tensor models, supplementation with more advanced tensor-based reconstruction methods might be beneficial. |
Reconstruction methods differ in how they represent underlying diffusion processes. (1) Axial view of a sample tensor map displaying CN V entry into the brainstem, (2) Tensors visible as glyphs displaying CN V entry into the brainstem, (3) results from single diffusion tensor tractography (SDT) after placing region-of-interest (ROI) seeds on anterior portions of CN V bilaterally. Generated streamlines do not show their projections to brainstem nuclei, (4) results from EXtended Streamline Tractography (XST) after placing ROI seeds on anterior portions of CN V bilaterally. Streamlines projecting to the area of the nuclei of the trigeminal nerves can be seen, (5) Axial view of sample fiber orientation distribution (FOD) map displaying CN V entry into the brainstem, (6) results from streamline tractography on FODs derived from constrained spherical deconvolution (CSD) after placing ROI seeds on anterior portions of CN V bilaterally. Streamlines projecting to the area of the nuclei of the trigeminal nerves can be seen. |
Nerve Atrophy in Trigeminal Neuralgia Due to Neurovascular Compression and its Association with Surgical Outcomes after Microvascular Decompression
|
Publication: Acta Neurochir (Wien). 2017 Sep;159(9):1699-1705. PMID: 28638946 Authors: Cheng J, Meng J, Liu W, Zhang H, Hui X, Lei D. Institution: Department of Neurosurgery, West China Hospital, Sichuan University, Sichuan, China. Abstract: Background: Idiopathic trigeminal neuralgia (TN) is caused by neurovascular compression and is often related to morphological changes in the trigeminal nerve. The aim of this study was to quantitatively measure atrophic changes of trigeminal nerves in patients with TN, and to further investigate whether nerve atrophy affected the efficacy of microvascular decompression (MVD). Methods: We conducted a prospective case-control study of 60 consecutive patients with TN and 30 sex- and age-matched healthy controls. All subjects underwent high-resolution three-dimensional MRI. The volume of the cisternal segment of trigeminal nerves was measured and compared using 3D Slicer software. Patients with TN underwent primary MVD and regular follow-up for at least 2 years. Associations of nerve atrophy with patient characteristics and operative outcomes were analyzed. Results: The mean volume of the affected trigeminal nerve was significantly reduced in comparison to that of the nonaffected side (65.8 ± 21.1 versus 77.9 ± 19.3 mm3, P = 0.001) and controls (65.8 ± 21.1 versus 74.7 ± 16.5 mm3, P = 0.003). Fifty-two patients (86.7%) achieved complete pain relief without medication immediately after surgery, and 77.6% of patients were complete pain relief at the 2-year follow-up. The Spearman correlation test showed that there was a positive correlation (r = 0.46, P = 0.018) between the degree of trigeminal nerve indentation and nerve atrophy. In multivariate logistic regression analysis, two factors, indentation on nerve root (OR = 2.968, P = 0.022) and degree of nerve atrophy (OR = 1.18, P = 0.035), were associated with the long-term outcome. Conclusions: TN is associated with atrophy on the affected nerve. Furthermore, greater nerve atrophy is associated with more severe trigeminal nerve indentation and better long-term outcome following MVD. |
A Comparative Study of Irrigation Versus no Irrigation during Burr Hole Craniostomy to Treat Chronic Subdural Hematoma
|
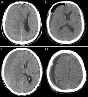
Publication: BMC Surg. 2017 Sep 11;17(1):99. PMID: 28893217 | PDF Authors: Wang QP, Yuan Y, Guan JW, Jiang XB. Institution: Department of Neurosurgery, Union Hospital, Tongji Medical College, Huazhong University of Science and Technology, Wuhan, China. Abstract: Background: Burr hole craniostomy is a widely used method for the evacuation of CSDH. However it is not clear whether the irrigation during operation improves the prognosis or gives rise to additional complications instead. This retrospective cohort study was conducted to determine this issue. Methods: Patients attending two medical centers in China who underwent burr hole drainage with irrigation (BHDI) or burr hole drainage without irrigation (BHD) for unilateral CSDH during January 2013 to December 2016 were included in this study. The patients' clinical information and follow-up data were retrospectively reviewed, and the radiologic findings were processed using the 3D Slicer software. The differences in outcomes were identified using t-test, chi-square test, or Fisher's exact test. Results: A total of 151 patients comprising 63 patients in the BHD group and 88 patients in the BHDI group were included. Patients in the BHDI group had a higher volume of pneumocrania on the first postoperative day than that of patients in the BHD group (p < 0.05). No significant differences were observed between the two approaches in rates of rebleeding, recurrence and other complications (p > 0.05). Conclusions: Irrigation had no improvement in the long-term curative effect on CSDH, but it increased the risk of short-term complication in terms of pneumocrania. Therefore, this study suggests that irrigation is not an obligatory procedure during burr hole drainage. |
CT scans of two typical patients undergoing BHD and BHDI. a and b are the preoperative and first postoperative day images of a patient receiving BHDI, respectively. c and d are the preoperative and first postoperative day images of a patient receiving BHD, respectively. Obvious pneumocrania can be observed in image b. This image is from the preliminary report of the present study, which was published in West China Medicine Journal [27]. The authors have got the permission to republish this image. |
A New Genus of Hell Ants from the Cretaceous (Hymenoptera: Formicidae: Haidomyrmecini) with a Novel Head Structure
|
Publication: Systematic Entomology. 2017 Sep 4;42(4):837-46. Authors: Barden, Phillip A., Herhold, Hollister W., Grimaldi, David A. Institutions: Department of Biological Sciences, New Jersey Institute of Technology, Newark, NJ, USA. Abstract: An unusual Cretaceous trap jaw ant is described from Burmese amber dated to the Late Cretaceous. Linguamyrmex vladi gen.n. sp.n. is distinguished by an unusual suite of morphological characters indicating specialized predatory behaviour and an adaptive strategy no longer found among modern ant lineages. The clypeus, highly modified as in other closely related haidomyrmecine hell ants, is equipped with a paddle-like projection similar to Ceratomyrmex. X-ray imaging reveals that this clypeal paddle is reinforced, most probably with sequestered metals. Presumably this fortified clypeal structure was utilized in tandem with scythe-like mandibles to pin and potentially puncture soft-bodied prey. This unique taxon, which stresses the diversity of stem-group ants, is discussed in the context of modern and other Cretaceous trap jaw ant species. Slicer: Mid-way through the analysis and post-processing of the specimen, we switched from a different CT application to 3D Slicer. The toolset provided, combined with the active community, enabled rapid, high-quality visualizations. |
Three-dimensional reconstruction and two-dimensional X-ray ‘slices’ of Linguamyrmex vladi. (A) Three-dimensional reconstruction of specimen BuPH-01 in lateral view. Some elements are irrecoverable in X-ray imaging due to the similar attenuation properties of both amber and thin cuticle. Scale bar, 0.75 mm. (B) Lateral view of head capsule, mandibles and clypeal paddle. Planes C and D correspond with panels C and D, respectively. Scale bar, 0.2 mm. (C) Cross-section of clypeal paddle from oblique dorsal view. Labels demonstrate approximate pixel ‘grey values’ for each fossil material, which in turn represent relative X-ray attenuation levels. (D) Cross-section of clypeal paddle from frontal view. Scale bar, 0.08 mm in each cross-section. |
Improvement of Pyramidal Tract Side Effect Prediction using a Data-Driven Method in Subthalamic Stimulation
|
Publication: IEEE Trans Biomed Eng. 2017 Sep;64(9):2134-41. PMID: 27959795 Authors: Baumgarten C, Zhao Y, Sauleau P, Malrain C, Jannin P, Haegelen C. Institution: Signal and Image Processing Laboratory, Department LTSI , University of Rennes, France. Abstract: Objective: Subthalamic nucleus deep brain stimulation (STN DBS) is limited by the occurrence of a pyramidal tract side effect (PTSE) induced by electrical activation of the pyramidal tract. Predictive models are needed to assist the surgeon during the electrode trajectory preplanning. The objective of the study was to compare two methods of PTSE prediction based on clinical assessment of PTSE induced by STN DBS in patients with Parkinson's disease. Methods: Two clinicians assessed PTSE postoperatively in 20 patients implanted for at least three months in the STN. The resulting dataset of electroclinical tests was used to evaluate two methods of PTSE prediction. The first method was based on the volume of tissue activated (VTA) modeling and the second one was a data-driven-based method named Pyramidal tract side effect Model based on Artificial Neural network (PyMAN) developed in our laboratory. This method was based on the nonlinear correlation between the PTSE current threshold and the 3-D electrode coordinates. PTSE prediction from both methods was compared using Mann-Whitney U test. Results: 1696 electroclinical tests were used to design and compare the two methods. Sensitivity, specificity, positive- and negative-predictive values were significantly higher with the PyMAN method than with the VTA-based method (P < 0.05). Conclusion: The PyMAN method was more effective than the VTA-based method to predict PTSE. Significance: This data-driven tool could help the neurosurgeon in predicting adverse side effects induced by DBS during the electrode trajectory preplanning. |
Pre-operative registration between the ParkMedAtlis atlas and the patient’s T1 and T2 weighted MRI. Top left: axial view; top right: antero-superior left three-dimensional view of the cerebral sulci and the segmented basal ganglia, down left; parasagittal view; down right: coronal view. The red dot and line are the preplanned trajectory few days before the surgery to implant an electrode in the left subthalamic nucleus. A: anterior; P: posterior; L: left; R: right; S: superior; I: inferior. Amygdala (light pink), hippocampus (dark pink), putamen (violet), medial pallidum (orange), lateral pallidum (green), caudate nucleus (light blue), thalami (yellow), substantia nigra (grey), subthalamic nucleus (light orange), red nucleus (red), ventricles (dark blue). |
High Expression of Glypican-1 Predicts Dissemination and Poor Prognosis in Glioblastomas
|
Publication: World Neurosurg. 2017 Sep;105:282-8. PMID: 28602885 Authors:Saito T, Sugiyama K, Hama S, Yamasaki F, Takayasu T, Nosaka R, Onishi S, Muragaki Y, Kawamata T, Kurisu K. Institution: Department of Neurosurgery, Hiroshima University, Graduate School of Biomedical and Health Science, Hiroshima, Japan. Abstract: Objective: Glioblastoma (GBM) relapses locally or in a disseminated pattern, and is highly resistant to chemo-radiotherapy. Although dissemination is associated with poor prognosis for GBM patients, the clinico-pathological factors that promote dissemination have not been elucidated. Glypican-1 (GPC-1) is a heparin sulfate proteoglycan that is attached to the extracytoplasmic surface of the cell membrane and regulates cell motility. The aim of this study was to determine whether GPC-1 expression correlated with GBM dissemination and patient prognosis. Methods: GPC-1 expression was examined by immunohistochemistry in 53 patients with GBM who received radiotherapy and temozolomide (TMZ) treatment. We assessed the relationship between dissemination and clinico-pathological factors, including GPC-1 expression. Additionally, we evaluated the relationship between GPC-1 expression and overall survival (OS) by uni- and multivariate analyses of a range of clinico-pathological factors, including age, Karnofsky Performance Status (KPS), extent of resection, and O6-methylguanine-DNA methyltransferase (MGMT) status. To evaluate the extent of resection by 13 semi-automatic volumetry, we used 3D Slicer, version 4.0 software. Results: Logistic regression analysis revealed that GPC-1 expression correlated with dissemination (P = 0.0116). Log-rank tests revealed that age, KPS, extent of resection, MGMT status, dissemination (P = 0.0008) and GPC-1 expression (P = 0.0011) were significantly correlated with OS. Multivariate analysis indicated that age, MGMT status, and GPC-1 expression were significantly correlated with OS. GPC-1 expression had the highest hazard ratio (2.392) among all regressors. Conclusions: GPC-1 expression significantly correlated with OS in GBM patients who received radiotherapy and TMZ treatment. GPC-1 expression can help predict the occurrence of dissemination and shorter OS in GBM patients. |
Factors Affecting the Visual Outcome of Pituitary Adenoma Patients Treated with Endoscopic Transsphenoidal Surgery
|
Publication: World Neurosurg. 2017 Sep;105:422-31. PMID: 28583452 Authors: Luomaranta T, Raappana A, Saarela V, Liinamaa MJ. Institution: Department of Ophthalmology, Oulu University Hospital, Oulu, Finland. Abstract: Objective: To evaluate visual acuity (VA) and visual fields (VF) quantitatively before and after endoscopic transsphenoidal surgery (ETS), with special attention to prognostic factors such as the pituitary adenomas' (PAs') suprasellar extension (SSE), volume and the patients' age. Methods: Medical records of 47 PA patients operated with ETS were evaluated. VA, VF and visual impairment score (VIS) were determined pre- (VISpre) and postoperatively (VISpost). The PA's SSE, volume and chiasmal contact and their correlation with visual function was pre- and postoperatively assessed. Each PA was preoperatively manually segmented from (typically from T1-weighted, contrast-enhanced, coronal) MRI planes of the patient using 3D Slicer, a modelling software, which also reported the volume of the modeled PA. Results: The final cohort included 47 patients. VA improved in 54/76 eyes (71.0 %) after ETS and 69/76 eyes (90.7 %) gained normal VA. Postoperative VF recovery occurred in 32/37 (86.5 %) of the eyes. The mean VISchange was 12.0 (95% CI 7.7-16.3) and improved in all patients with tumor-related visual impairment (n=25). However, visual outcome was poorer when VISpre>40. When VISpre was 21-40, age linearly correlated with VIS improvement (p=0.03); younger patients had satisfactory and older poorer visual outcome. The mean SSE in patients with VF defects (n=20) was 16.6 mm (95% CI 13.3-19.9) and in patients with no VF defects (n=23) 6.6 mm (95% CI 4.9-8.3, p<0.001) and cut-off value for visual perturbations was 9.5 mm for SSE and 8.6 ml for PA volume (p<0.001 for both). Conclusions: The visual outcome after ETS for PAs was excellent and significant complications rare. Severe preoperative visual impairment resulted poorer postoperative visual outcome. The SSE of PA was the most important predictor of visual outcome after ETS. |
Retrospective Validation of a Computer-Assisted Quantification Model of Intracerebral Hemorrhage Volume on Accuracy, Precision, and Acquisition Time, Compared with Standard ABC/2 Manual Volume Calculation
|
Publication: AJNR Am J Neuroradiol. 2017 Aug;38(8):1536-42. PMID: 28596188 Authors: Xue W, Vegunta S, Zwart CM, Aguilar MI, Patel AC, Hoxworth JM, Demaerschalk BM, Mitchell JR. Institution: Department of Biomedical Informatics, Arizona State University, Scottsdale, AZ, USA. Abstract: Purpose: Intracerebral hemorrhage accounts for 6.5%-19.6% of all acute strokes. Initial intracerebral hemorrhage volume and expansion are both independent predictors of clinical outcomes and mortality. Therefore, a rapid, unbiased, and precise measurement of intracerebral hemorrhage volume is a key component of clinical management. The most commonly used method, ABC/2, results in overestimation. We developed an interactive segmentation program, SegTool, using a novel graphic processing unit, level set algorithm. Until now, the speed, bias, and precision of SegTool had not been validated. Materials and Methods: In a single stroke academic center, 2 vascular neurologists and 2 neuroradiologists independently performed a test-retest experiment that involved repeat measurements of static, unchanging intracerebral hemorrhage volumes on CT from 76 intracerebral hemorrhage cases. Measurements were made with SegTool and ABC/2. True intracerebral hemorrhage volumes were estimated from a consensus of repeat manual tracings by 2 operators. These data allowed us to estimate measurement bias, precision, and speed. Computer-assisted measurements were made with an intensity-threshold algorithm in 3D Slicer. Results: The measurements with SegTool were not significantly different from the true intracerebral hemorrhage volumes, while ABC/2 overestimated volume by 45%. The interrater measurement variability with SegTool was 50% less than that with ABC/2. The average measurement times for ABC/2 and SegTool were 35.7 and 44.6 seconds, respectively. Conclusions: SegTool appears to have attributes superior to ABC/2 in terms of accuracy and interrater reliability with a 9-second delay in measurement time (on average); hence, it could be useful in clinical trials and practice. |
ROS-IGTL-Bridge: An Open Network Interface for Image-guided Therapy using the ROS Environment
|
Publication: Int J Comput Assist Radiol Surg. 2017 Aug;12(8):1451-60. PMID: 28567563 Authors: Frank T, Krieger A, Leonard S, Patel NA, Tokuda J. Institution: Institute of Mechatronic Systems, Gottfried Wilhelm Leibniz University, Hannover, Germany. Abstract: Purpose: With the growing interest in advanced image-guidance for surgical robot systems, rapid integration and testing of robotic devices and medical image computing software are becoming essential in the research and development. Maximizing the use of existing engineering resources built on widely accepted platforms in different fields, such as robot operating system (ROS) in robotics and 3D Slicer in medical image computing could simplify these tasks. We propose a new open network bridge interface integrated in ROS to ensure seamless cross-platform data sharing. Methods: A ROS node named ROS-IGTL-Bridge was implemented. It establishes a TCP/IP network connection between the ROS environment and external medical image computing software using the OpenIGTLink protocol. The node exports ROS messages to the external software over the network and vice versa simultaneously, allowing seamless and transparent data sharing between the ROS-based devices and the medical image computing platforms. Results: Performance tests demonstrated that the bridge could stream transforms, strings, points, and images at 30 fps in both directions successfully. The data transfer latency was <1.2 ms for transforms, strings and points, and 25.2 ms for color VGA images. A separate test also demonstrated that the bridge could achieve 900 fps for transforms. Additionally, the bridge was demonstrated in two representative systems: a mock image-guided surgical robot setup consisting of 3D Slicer, and Lego Mindstorms with ROS as a prototyping and educational platform for IGT research; and the smart tissue autonomous robot surgical setup with 3D Slicer. Conclusion: The study demonstrated that the bridge enabled cross-platform data sharing between ROS and medical image computing software. This will allow rapid and seamless integration of advanced image-based planning/navigation offered by the medical image computing software such as 3D Slicer into ROS-based surgical robot systems. Funding:
|
|
Publication: IEEE Trans Biomed Eng. 2017 Aug;64(8):1972-9. PMID: 28362578 Authors: Jaeger HA, Nardelli P, O'Shea C, Tugwell J, Khan KA, Power T, O'Shea M, Kennedy MP, Cantillon-Murphy P. Institution: School of Engineering, University College Cork, Cork, Ireland. Abstract: This paper describes a novel method of controlling an endoscopic catheter using an automated catheter tensioning system with the objective of providing clinicians with improved manipulation capabilities within the patient. Catheters are used in many clinical procedures to provide access to the cardiopulmonary system. Control of such catheters is performed manually by the clinicians using a handle, typically actuating a single or opposing set of pull-wires. Such catheters are generally actuated in a single plane, requiring the clinician to rotate the catheter handle to navigate the system. The automation system described here allows closed-loop control of a custom bronchial catheter in tandem with an electromagnetic tracking of the catheter tip and image guidance using 3D Slicer. An electromechanical drive train applies tension to four pull-wires to steer the catheter tip, with the applied force constantly monitored though force sensing load-cells. The applied tension is controlled through a PC connected joystick. An electromagnetic sensor embedded in the catheter tip enables constant real-time position tracking while a working channel provides a route for endoscopic instruments. The system is demonstrated and tested in both a breathing lung model and a preclinical animal study. Navigation to predefined targets in the subject's airways using the joystick while using virtual image guidance and electromagnetic tracking was demonstrated. Average targeting times were 24 seconds and 10 seconds respectively for the breathing lung and live animal studies. This paper presents the first reported remote controlled bronchial working channel catheter utilizing electromagnetic tracking and has many implications for future development in endoscopic and catheter based procedures. |
Exercise Decreases Marrow Adipose Tissue Through ß-Oxidation in Obese Running Mice
|
Publication: J Bone Miner Res. 2017 Aug;32(8):1692-1702. PMID: 28436105 | PDF Authors: Styner M, Pagnotti GM, McGrath C, Wu X, Sen B, Uzer G, Xie Z, Zong X, Styner MA, Rubin CT, Rubin J. Institution: Department of Medicine, Division of Endocrinology and Metabolism, University of North Carolina, Chapel Hill, NC, USA. Abstract: The relationship between marrow adipose tissue (MAT) and bone health is poorly understood. We used running exercise to ask whether obesity-associated MAT can be attenuated via exercise and whether this correlates with gains in bone quantity and quality. C57BL/6 mice were divided into diet-induced obesity (DIO, n = 14) versus low-fat diet (LFD, n = 14). After 3 months, 16-week-old mice were allocated to an exercise intervention (LFD-E, DIO-E) or a control group (LFD, DIO) for 6 weeks (4 groups, n = 7/group). Marrow adipocyte area was 44% higher with obesity (p < 0.0001) and after exercise 33% lower in LFD (p < 0.0001) and 39% lower in DIO (p < 0.0001). In LFD, exercise did not affect adipocyte number; however, in DIO, the adipocyte number was 56% lower (p < 0.0001). MAT was 44% higher in DIO measured by osmium-μCT, whereas exercise associated with reduced MAT (-23% in LFD, -48% in DIO, p < 0.05). MAT was additionally quantified by 9.4TMRI, and correlated with osmium-µCT (r = 0.645; p < 0.01). Consistent with higher lipid beta oxidation, perilipin 3 (PLIN3) rose with exercise in tibial mRNA (+92% in LFD, +60% in DIO, p < 0.05). Tibial µCT-derived trabecular bone volume (BV/TV) was not influenced by DIO but responded to exercise with an increase of 19% (p < 0.001). DIO was associated with higher cortical periosteal and endosteal volumes of 15% (p = 0.012) and 35% (p < 0.01), respectively, but Ct.Ar/Tt.Ar was lower by 2.4% (p < 0.05). There was a trend for higher stiffness (N/m) in DIO, and exercise augmented this further. In conclusion, obesity associated with increases in marrow lipid-measured by osmium-μCT and MRI-and partially due to an increase in adipocyte size, suggesting increased lipid uptake into preexisting adipocytes. Exercise associated with smaller adipocytes and less bone lipid, likely invoking increased ß-oxidation and basal lipolysis as evidenced by higher levels of PLIN3. © 2017 American Society for Bone and Mineral Research. Funding:
|
Three‐Dimensional Printing: An Aid to Epidural Access for Neuromodulation
|
Publication: Neuromodulation. 2017 Aug;20(6):622-6. PMID: 28425137 Authors: Taverner MG, Monagle JP. Institution: Frankston Pain Management, Victoria, Australia. Abstract: Objective: The case report details to use of three-dimensional (3D) printing as an aid to neuromodulation. Methods: A patient is described in whom previous attempts at spinal neuromodulation had failed due to lack of epidural or intrathecal access, and the use of a 3D printed model allowed for improved planning and ultimately, success. Thin-slices (0.625 mm) of a high-resolution CT scan of the patient's thoracolumbar spine and iliac crests was used to create a CAD model on 3D Slicer software (Surgical Planning Laboratory, Boston, MA Results: Successful spinal cord stimulation was achieved with the plan developed by access to a 3D model of the patient's spine. Conclusion: Neuromodulation techniques can provide the optimal analgesic techniques for individual patients. At times these can fail due to lack of access to the site for intervention, in this case epidural access. 3D printing may provide additional information to improve the likelihood of access when anatomy is distorted and standard approaches prove difficult. |
Quantitative CT ventriculography for Assessment and Monitoring of Hydrocephalus: a Pilot Study and Description of method in Subarachnoid Hemorrhage (SAH)
|
Publication: World Neurosurg. 2017 Aug;104:136-41. PMID: 28456742 Authors: Multani JS, Oermann EK, Titano J, Mascitelli J, Nicol K, Feng R, Skovrlj B, Pain M, Mocco JD, Bederson JB, Costa A, Shrivastava R. Institution: Department of Neurological Surgery, Mount Sinai Health System, New York, NY, USA. Abstract: Background: There is no facile quantitative method for monitoring hydrocephalus (HCP). Objective: We propose quantitative CT ventriculography (qCTV) as a novel computer vision tool for empirically assessing HCP in patients with subarachnoid hemorrhage (SAH). Methods: Twenty patients with SAH who were evaluated for ventriculoperitoneal shunt (VPS) placement were selected for inclusion. Ten patients with normal CT head (CTH) were analyzed as negative controls. CTH scans were segmented both manually and automatically (qCTV) to generate measures of ventricular volume. Results: Median manually calculated ventricular volume was 36.1cm3(IQR 30-115cm3), which was similar to a median qCTV measured volume of 37.5cm3 (IQR 32-118cm3) (p=0.796). Patients undergoing VPS placement demonstrated an increase in ventricular volume on qCTV from 21cm3 to 40cm3 on Day T-2, and 51cm3 by Day 0, a change of 144%. This contrasts with patients who did not require shunting whose ventricular volumes decreased from 16 to 14cm3 on Day T-2, and 13cm3 by Day 0, with an average overall decrease in volume of 19% (p=0.001). Average change in ventricular volume predicted which patients would require VPS placement, successfully identifying 7/10 patients (p=0.004). using an optimized cutoff of change in ventricular volume of 2.5cm3 identified all patients who went on to require VPS placement (10/10, p=0.011). Conclusions: qCTV is a reliable means of quantifying ventricular volume and hydrocephalus. This technique offers a new tool for monitoring neurosurgical patients for hydrocephalus, and may be beneficial for use in future research studies as well as the routine care of patients with hydrocephalus. |
What are the True Volumes of SEGA Tumors? Reliability of Planimetric and Popular Semi-automated Image Segmentation Methods
|
Publication: MAGMA. 2017 Aug;30(4):397-405. PMID: 28321524 Authors: Stawiski K, Trelińska J, Baranska D, Dachowska I, Kotulska K, Jóźwiak S, Fendler W, Młynarski W. Institution: Department of Biostatistics and Translational Medicine, Hematology and Diabetology, Medical University of Lodz, Lodz, Poland. Abstract: Objective: To evaluate the reliability of the standard planimetric methodology of volumetric analysis and three different open-source semi-automated approaches of brain tumor segmentation. Materials and Methods: The volumes of subependymal giant cell astrocytomas (SEGA) examined by 30 MRI studies of 10 patients from a previous everolimus-related trial (EMINENTS study) were estimated using four methods planimetric method (modified MacDonald ellipsoid method), ITK-Snap (pixel clustering, geodesic active contours, region competition methods), 3D Slicer (level-set thresholding), and NIRFast (k-means clustering, Markov random fields). The methods were compared, and a trial simulation was performed to determine how the choice of approach could influence the final decision about progression or response. Results: Intraclass correlation coefficient was high (0.95; 95% CI 0.91-0.98). The planimetric Method: always overestimated the size of the tumor, while virtually no mean difference was found between ITK-Snap and 3D Slicer (P = 0.99). NIRFast underestimated the volume and presented a proportional bias. During the trial simulation, a moderate level of agreement between all the methods (kappa 0.57-0.71, P < 0.002) was noted. Conclusion: Semi-automated segmentation can ease oncological follow-up but the moderate level of agreement between segmentation methods suggests that the reference standard volumetric method for SEGA tumors should be revised and chosen carefully, as the selection of volumetry tool may influence the conclusion about tumor progression or response. |
MRI Visible Fe3O4 Polypropylene Mesh: 3D Reconstruction of Spatial Relation to Bony Pelvis and Neurovascular Structures
|
Publication: Int Urogynecol J. 2017 Aug;28(8):1131-8. PMID: 28124074 Authors: Chen L, Lenz F, Alt CD, Sohn C, De Lancey JO, Brocker KA. Institution: Pelvic Floor Research Group, Biomedical Engineering Department, University of Michigan, Ann Arbor, MI, USA. Abstract: Introduction and Hypothesis: To demonstrate mesh magnetic resonance imaging (MRI) visibility in living women, the feasibility of reconstructing the full mesh course in 3D, and to document its spatial relationship to pelvic anatomical structures. Methods: This is a proof of concept study of three patients from a prospective multi-center trial evaluating women with anterior vaginal mesh repair using a MRI-visible Fe3O4 polypropylene implant for pelvic floor reconstruction. High-resolution sagittal T2-weighted (T2w) sequences, transverse T1-weighted (T1w) FLASH 2D, and transverse T1w FLASH 3D sequences were performed to evaluate Fe3O4 polypropylene mesh MRI visibility and overall post-surgical pelvic anatomy 3 months after reconstructive surgery. Full mesh course in addition to important pelvic structures were reconstructed using the 3D Slicer software program based on T1w and T2w MRI. Results: Three women with POP-Q grade III cystoceles were successfully treated with a partially absorbable MRI-visible anterior vaginal mesh with six fixation arms and showed no recurrent cystocele at the 3-month follow-up examination. The course of mesh in the pelvis was visible on MRI in all three women. The mesh body and arms could be reconstructed allowing visualization of the full course of the mesh in relationship to important pelvic structures such as the obturator or pudendal vessel nerve bundles in 3D. Conclusions: The use of MRI-visible Fe3O4 polypropylene meshes in combination with post-surgical 3D reconstruction of the mesh and adjacent structures is feasible suggesting that it might be a useful tool for evaluating mesh complications more precisely and a valuable interactive feedback tool for surgeons and mesh design engineers. |
Three-Dimensional Printing of X-ray Computed Tomography Datasets with Multiple Materials using Open-source Data Processing
|
Publication: Anat Sci Educ. 2017 Jul;10(4):383-91. PMID: 28231405 Authors: Sander IM, McGoldrick MT, Helms MN, Betts A, van Avermaete A, Owers E, Doney E, Liepert T, Niebur G, Liepert D, Leevy WM. Institution: Department of Biological Sciences, College of Science, University of Notre Dame, Notre Dame, IN, USA. Abstract: Advances in three-dimensional (3D) printing allow for digital files to be turned into a "printed" physical product. For example, complex anatomical models derived from clinical or pre-clinical X-ray computed tomography (CT) data of patients or research specimens can be constructed using various printable materials. Although 3D printing has the potential to advance learning, many academic programs have been slow to adopt its use in the classroom despite increased availability of the equipment and digital databases already established for educational use. Herein, a protocol is reported for the production of enlarged bone core and accurate representation of human sinus passages in a 3D printed format using entirely consumer-grade printers and a combination of free-software platforms. The comparative resolutions of three surface rendering programs were also determined using the sinuses, a human body, and a human wrist data files to compare the abilities of different software available for surface map generation of biomedical data. Data shows that 3D Slicer provided highest compatibility and surface resolution for anatomical 3D printing. Generated surface maps were then 3D printed via fused deposition modeling (FDM printing). In conclusion, a methodological approach that explains the production of anatomical models using entirely consumer-grade, fused deposition modeling machines, and a combination of free software platforms is presented in this report. The methods outlined will facilitate the incorporation of 3D printed anatomical models in the classroom. |
3D Print of the Maxillary Sinus for Morphological Study
|
Publication: Int. J. Morphol. 2017 Jul; 35(3):1102-6. PDF Authors: Araneda N, Parra M, Valdivia Osorio J, Olate S. Institutions: Division of Oral and Maxillofacial Surgery, Temuco, Chile. Abstract: The maxillary sinus (MS) is described as a pyramid-shaped cavity of the maxilla. Knowledge of its morphology makes it possible to define normality and abnormality so that its three-dimensional analysis can be a valuable preoperative tool during surgery in this anatomical area. The aim of this study is to present a strategy of morphological analysis of the MS using 3D printing acquired through computed cone beam tomography (CBCT) images. A cross-sectional descriptive study was conducted, including 15 subjects (8 women and 7 men). The 3D virtual reconstruction and modeling was done on the MSs bilaterally, and 30 physical models were produced on a 3D printer. The results revealed that the MSs obtained exhibited various morphologies. An individual analysis of each MS allowed the tripod nature of the MS to be defined. We also were able to observe anatomical repairs such as the MS ostium, as well as complex areas affecting important surgical decisions. This method for creating 3D models of MSs provides a new approach to understanding the precise anatomical characteristics in these structures, which cannot be assessed in the same way on a 2D screen. It may be concluded that 3D printouts of the MS are a suitable method of preoperative analysis that can be useful in educating the patient, however, less time-consuming strategies should be explored. |
Direct work on the 3D Slicer software to determine the areas of the maxillary sinus in 2D images; the image segmentation obtains the image of the maxillary sinus in the different spatial directions. |
Validity of Longitudinal Sections for Determining the Apical Constriction
|
Publication: Int Endod J. 2017 Jul;50(7):706-12. PMID: 27284756 Authors: Schell S, Judenhofer MS, Mannheim JG, Hülber-J M, Löst C, Pichler BJ, ElAyouti A. Institution: Division of Endodontology, Department of Conservative Dentistry, School of Dental Medicine, University of Tübingen, Tübingen, Germany. Abstract: AIM: To validate the use of longitudinal sections against cross sections using micro-CT for disclosing the topography and location of the apical constriction. METHODOLOGY: Seventy extracted human teeth with 117 completely developed roots were micro-CT scanned and reconstructed at a voxel size of 27 μm. The 3D Slicer program was used to navigate the longitudinal sections parallel to the long axis of the canal and also to rotate and tilt the views. Each root canal was evaluated in both mesio-distal and bucco-lingual planes. Constriction topographies were identified as described in the literature. In each canal, the number of different topographies detected was recorded. Further, serial cross-sectional analysis of the apical portion of the canal was performed. Reconstructed plots of canal areas were assessed to locate the constriction and determine its form. A descriptive analysis of both longitudinal and cross section methods was conducted. In each canal, the frequency of constriction forms was calculated in the mesio-distal or bucco-lingual aspects and the 99% confidence interval was computed. RESULTS: When both aspects of the longitudinal sections were pooled, all root canals had two or more topographies and consequently different locations of the apical constriction. In contrast, cross-sectional analysis constantly yielded one constriction form per canal. CONCLUSION: Compared to cross-sectional analysis, longitudinal sections of the root canal conveyed inconsistent results regarding the topography and the location of the apical constriction. |
MultiXplore: Visual Exploration Platform for Multimodal Neuroimaging Data
|
Publication: J Neurosci Methods. 2017 Jul 13;290:1-12. PMID: 28712912 Authors: Bakhshmand SM, Khan AR, de Ribaupierre S, Eagleson R. Institution: Biomedical Engineering Graduate Program, University of Western Ontario, London, ON, Canada. Abstract: Background: Construction of brain functional and structural networks by neuroimaging methods facilitates inter-modal studies. These type of studies often demand exploration tools to carry out functional-structural discoveries and answer questions regarding the anatomical basis of brain networks. New Method: This paper describes the design and development of a software module for interactive visualization and exploration of dual-modal brain networks. Our objective was to equip the user with a research tool to investigate brain connectivity matrices while visualizing relevant anatomical landmarks within a 3D volumetric view. In order to create this view, MultiXplore was designed to load data from both structural and diffusion MRI and connectivity matrices. Results: Once user starts to select desired cells through an interactive matrix unit, associated axonal fiber pathways and grey matter regions are generated and displayed. Integration and visualization of functional and structural networks in this 3D interactive framework was successfully implemented and tested. Comparison with Existing Method(s): MultiXplore contributes to the transition of connectivity visualization techniques from node-link format to an anatomically more realistic graphical form and assists scientists in relating connectivity matrices to their anatomical correlates. This module also benefits from additional novel functionalities to annotate and differentiate fibers in a large bundle. Unlike traditional graph displays, interactive functionality helps in the inspection and visualization of relevant structures without cluttering the scene with excessive items. Conclusion: This module was designed and developed as a plugin to 3D Slicer imaging platform and is accessible for neuroimaging researchers through NITRC. |
Shape, Septa and Scalloping of the Maxillary Sinus
|
Publication: Int. J. Morphol. 2017 July; 35(3):970-8. PDF Authors: Rennie C, Haffajee MR, Satyapal KS. Institutions: Department of Clinical Anatomy, School of Laboratory Medicine and Medical Sciences College of Health Sciences University of KwaZulu-Natal, Durban, South Africa. Abstract: The maxillary sinus varies according to age, however there are limited studies that have illustrated its 3D form over time. This study aimed to classify the maxillary sinus by the shape, number of septa and scallops in a 1 to 25 year age group, utilising computerized tomography (CT) scans and 3D reconstruction. CT scans (n=480) were reviewed from the picture archiving and communication system (PACS) of the state and private hospitals in Pietermaritzburg and Durban KwaZulu- Natal (KZN), South Africa. The sample consisted of 276 males and 204 females, 1-25 years and of two population groups, black African and white. 3D Slicer was utilised in order to reconstruct a 3D model of the sinus. Morphological traits such as the presence of the sinus, scalloping and septa within the sinuses were categorised. In addition, the shape of the 3D model of the sinus was analysed anteriorly (coronal) and laterally (sagittal) adapting the classifications by Kim (1962) and Kim et al. (2002). The maxillary sinus was present bilaterally in n=477 individuals (99.4 %). Five different anterior shapes viz. Type 1 (triangular), Type 2 (upside down triangle), Type 3 (square), Type 4 (irregular) and Type 5 (rectangular) were identified in the anterior view. This shape was associated with age and population groups (p<0.05). In the lateral view, the maxillary sinus appeared to be quadrilateral with differences noted along the inferior wall. Intrasinus maxillary septa were more evident in the anterior region of the maxillary sinus (27.9 % right; 28.5 % left). The maxillary septa were commoner in females (37.9 % right; 39.4 % left) than in males (28.5 % right; 30.3 % left). They were also more commonly observed in the white cohort (63.8 % right; 68.1 % left) than in the black African cohort (29.1 % right; 30.5 % left). Scalloping in the axial plane from above along its anterior margin was also observed. An in-depth classification of the morphology of the 3D form of the maxillary sinus according to age (1 to 25 years) was established. Five different shapes in both the anterior and lateral view of the 3D model were observed. Anteriorly, it was noted that the main shape was Type 2 (upside down triangle). The shape of the sinus changed in the form according to age. Laterally, the shape was related to the development of the teeth, as the inferior wall of the sinus was classified. Maxillary septa and scalloping of the sinus were reported in all age groups. Surgically, the sinus morphology is essential for dental procedures such as sinus augmentation or dental implants, and anthropologically, in forensic identification. |
Optimization of a Novel Large Field of View Distortion Phantom for MR-only Treatment Planning
|
Publication: J Appl Clin Med Phys. 2017 Jul;18(4):51-61. PMID: 28497476 | PDF Authors: Price RG, Knight RA, Hwang KP, Bayram E, Nejad-Davarani SP, Glide-Hurst CK. Institution: Department of Radiation Oncology, Henry Ford Health System, Detroit, MI, USA. Abstract: Purpose: MR-only treatment planning requires images of high geometric fidelity, particularly for large fields of view (FOV). However, the availability of large FOV distortion phantoms with analysis software is currently limited. This work sought to optimize a modular distortion phantom to accommodate multiple bore configurations and implement distortion characterization in a widely implementable solution. Method and Materials: To determine candidate materials, 1.0 T MR and CT images were acquired of twelve urethane foam samples of various densities and strengths. Samples were precision-machined to accommodate 6 mm diameter paintballs used as landmarks. Final material candidates were selected by balancing strength, machinability, weight, and cost. Bore sizes and minimum aperture width resulting from couch position were tabulated from the literature (14 systems, 5 vendors). Bore geometry and couch position were simulated using MATLAB to generate machine-specific models to optimize the phantom build. Previously developed software for distortion characterization was modified for several magnet geometries (1.0 T, 1.5 T, 3.0 T), compared against previously published 1.0 T results, and integrated into the 3D Slicer application platform. Results: All foam samples provided sufficient MR image contrast with paintball landmarks. Urethane foam (compressive strength ∼1000 psi, density ~20 lb/ft3 ) was selected for its accurate machinability and weight characteristics. For smaller bores, a phantom version with the following parameters was used: 15 foam plates, 55 × 55 × 37.5 cm3 (L×W×H), 5,082 landmarks, and weight ~30 kg. To accommodate > 70 cm wide bores, an extended build used 20 plates spanning 55 × 55 × 50 cm3 with 7,497 landmarks and weight ~44 kg. Distortion characterization software was implemented as an external module into 3D Slicer's plugin framework and results agreed with the literature. Conclusion: The design and implementation of a modular, extendable distortion phantom was optimized for several bore configurations. The phantom and analysis software will be available for multi-institutional collaborations and cross-validation trials to support MR-only planning. Funding:
|
3D Slicer distortion module graphic user interface for 3D gradient nonlinear distortion assessment |
Validation of a method for "Dose of the Day" Calculation in Head-neck Tomotherapy by using Planning CT-to-MVCT Deformable Image Registration
|
Publication: Phys Med. 2017 Jul;39:73-9. PMID: 28619289 Authors: Branchini M, Fiorino C, Dell'Oca I, Belli ML, Perna L, Di Muzio N, Calandrino R, Broggi S. Institution: Medical Physics Department, San Raffaele Scientific Institute, Milano, Italy. Abstract: Purpose: The aim of this study was to test the feasibility and dosimetric accuracy of a method that employs planning CT-to-MVCT deformable image registration (DIR) for calculation of the daily dose for head and neck (HN) patients treated with Helical Tomotherapy (HT). Methods: For each patient, the planning kVCT (CTplan) was deformably registered to the MVCT acquired at the 15th therapy session (MV15) with a B-Spline Free Form algorithm using Mattes mutual information (open-source software 3D Slicer), resulting in a deformed CT (CTdef). On the same day as MVCT15, a kVCT was acquired with the patient in the same treatment position (CT15). The original HT plans were recalculated both on CTdef and CT15, and the corresponding dose distributions were compared; local dose differences <2% of the prescribed dose (DD2%) and 2D/3D gamma-index values (2%-2mm) were assessed respectively with Mapcheck SNC Patient software (Sun Nuclear) and with 3D Slicer. Results: On average, 87.9%±1.2% of voxels were found for DD2% (on average 27 slices available for each patient) and 94.6%±0.8% of points passed the 2D gamma analysis test while the 3D gamma test was satisfied in 94.8%±0.8% of body's voxels. Conclusions: This study represents the first demonstration of the dosimetric accuracy of kVCT-to-MVCT DIR for dose of the day computations. The suggested method is sufficiently fast and reliable to be used for daily delivered dose evaluations in clinical strategies for adaptive Tomotherapy of HN cancer. |
Nanoformulation of Olaparib Amplifies PARP Inhibition and Sensitizes PTEN/TP53-Deficient Prostate Cancer to Radiation
|
Publication: Mol Cancer Ther. 2017 Jul;16(7):1279-1289. PMID: 28500233 | PDF Authors: van de Ven AL, Tangutoori S, Baldwin P, Qiao J, Gharagouzloo C, Seitzer N, Clohessy JG, Makrigiorgos GM, Cormack R, Pandolfi PP, Sridhar S. Institution: Department of Physics, Northeastern University, Boston, MA, USA. Abstract: The use of PARP inhibitors in combination with radiotherapy is a promising strategy to locally enhance DNA damage in tumors. Here we show that radiation-resistant cells and tumors derived from a Pten/Trp53-deficient mouse model of advanced prostate cancer are rendered radiation sensitive following treatment with NanoOlaparib, a lipid-based injectable nanoformulation of olaparib. This enhancement in radiosensitivity is accompanied by radiation dose-dependent changes in γ-H2AX expression and is specific to NanoOlaparib alone. In animals, twice-weekly intravenous administration of NanoOlaparib results in significant tumor growth inhibition, whereas previous studies of oral olaparib as monotherapy have shown no therapeutic efficacy. When NanoOlaparib is administered prior to radiation, a single dose of radiation is sufficient to triple the median mouse survival time compared to radiation only controls. Half of mice treated with NanoOlaparib + radiation achieved a complete response over the 13-week study duration. Using ferumoxytol as a surrogate nanoparticle, MRI studies revealed that NanoOlaparib enhances the intratumoral accumulation of systemically administered nanoparticles. NanoOlaparib-treated tumors showed up to 19-fold higher nanoparticle accumulation compared to untreated and radiation-only controls, suggesting that the in vivo efficacy of NanoOlaparib may be potentiated by its ability to enhance its own accumulation. Together, these data suggest that NanoOlaparib may be a promising new strategy for enhancing the radiosensitivity of radiation-resistant tumors lacking BRCA mutations, such as those with PTEN and TP53 deletions. Funding:
|
Ferumoxytol delivery and accumulation in FKO1 tumors. (A) Timeline for longitudinal MRI experiments involving multiple boluses of ferumoxytol. (B) Representative negative- and positive-contrast MRI image slices of a single tumor before ferumoxytol injection (left), 24hr after ferumoxytol injection with 4hr vehicle pre-treatment (middle), and 24hr after ferumoxytol injection with 4hr NanoOlaparib pre-treatment (right). Ferumoxytol accumulation appeared as a darkening in the T1 and T2 images and a brightening of the UTE image. This tumor received 1 × 10Gy radiation 3 weeks prior to MRI study. (C) Histogram of the UTE signal intensity for all voxels within the tumor volume following each treatment. (D) The fold-increase in voxel number as a function of signal intensity between the first and second rounds of ferumoxytol accumulation. (E) The percentage of tumor volume with significant nanoparticle accumulation (as measured from the UTE signal intensity) following a single ferumoxytol injection in 11 different tumors pre-treated with NanoOlaparib, radiation, or no treatment. Statistically significant differences (P<0.01) were observed between the average of the indicated groups (*). (F) 2-D maximum intensity projections of ferumoxytol accumulation in all 11 different tumors. "T1, T2, and UTE signal intensity images were transformed and rendered using 3D Slicer v4.4." |
SLIDE: Automatic Spine Level Identification System using a Deep Convolutional Neural Network
|
Publication: Int J Comput Assist Radiol Surg. 2017 Jul;12(7):1189-98. PMID: 28361323 Authors: Hetherington J, Lessoway V, Gunka V, Abolmaesumi P, Rohling R. Institution: Department of Electrical and Computer Engineering, The University of British Columbia, Vancouver, Canada. Abstract: Purpose: Percutaneous spinal needle insertion procedures often require proper identification of the vertebral level to effectively and safely deliver analgesic agents. The current clinical Method: involves "blind" identification of the vertebral level through manual palpation of the spine, which has only 30% reported accuracy. Therefore, there is a need for better anatomical identification prior to needle insertion. Methods: A real-time system was developed to identify the vertebral level from a sequence of ultrasound images, following a clinical imaging protocol. The system uses a deep convolutional neural network (CNN) to classify transverse images of the lower spine. Several existing CNN architectures were implemented, utilizing transfer learning, and compared for adequacy in a real-time system. In the system, the CNN output is processed, using a novel state machine, to automatically identify vertebral levels as the transducer moves up the spine. Additionally, a graphical display was developed and integrated within 3D Slicer. Finally, an augmented reality display, projecting the level onto the patient's back, was also designed. A small feasibility study [Formula: see text] evaluated performance. Results: The proposed CNN successfully discriminates ultrasound images of the sacrum, intervertebral gaps, and vertebral bones, achieving 88% 20-fold cross-validation accuracy. Seventeen of 20 test ultrasound scans had successful identification of all vertebral levels, processed at real-time speed (40 frames/s). Conclusion: A machine learning system is presented that successfully identifies lumbar vertebral levels. The small study on human subjects demonstrated real-time performance. A projection-based augmented reality display was used to show the vertebral level directly on the subject adjacent to the puncture site. |
The Use of Cone Beam Computed Tomography in Assessing the Insertion of Bone Conduction Hearing Implants
|
Publication: Front Surg. 2017 Jul 24;4:38. PMID: 28791294 | PDF Authors: Calon TGA, Johansson ML, van den Burg EL, Janssen AML, van Hoof M, Stokroos RJ. Institution: Department of Otorhinolaryngology, Head and Neck Surgery, Maastricht University Medical Center, Maastricht, Netherlands. Abstract: OBJECTIVE: This study aimed to compare postoperative cone beam CT (CBCT) imaging to implant stability quotient (ISQ) measurement and direct caliper measurements as a suitable technique to assess bone conduction hearing implant (BCHI) seating and insertion depth. METHODS: In vitro, BCHIs were completely (n = 9) and partially inserted (n = 9) in bone blocks of different densities and subsequently scanned. Scans were processed using 3D Slicer v.4.3.1 and Mathematica 10.3. ISQ measurements were obtained for all BCHIs mounted with different abutment lengths (9, 12, and 14 mm). CBCT imaging was performed for patients with a clinical indication. RESULTS: In vitro, 95% prediction intervals for partially inserted and completely inserted BCHIs were determined. ISQ values significantly decreased with partial insertion, low-density artificial bone, and longer abutment lengths. Evaluation of in vitro and in vivo 3D models allowed for assessment of insertion depth and inclination. CONCLUSION: CBCT imaging allows to study implant seating and insertion depth after BCHI surgery. This can be useful when visual confirmation is limited. It is possible to distinguish a partial BCHI insertion from a complete insertion in artificial bone blocks. This technique could prove to be a valuable research tool. In vitro, ISQ values for Ponto BCHIs relate to abutment length, insertion depth, and artificial bone density. |
A New Approach for Radiosynoviorthesis: A Dose-Optimized Planning Method: Based on Monte Carlo Simulation and Synovial Measurement using 3D Slicer and MRI
|
Publication: Med Phys. 2017 Jul;44(7):3821-9. PMID: 28419533 Authors: Torres Berdeguez MB, Thomas S, Rafful P, Arruda Sanchez T, Medeiros Oliveira Ramos S, Albernaz MS, Vasconcellos de Sá L, Lopes de Souza SA, Mas Milian F, Xavier da Silva A. Institution: Department of Nuclear Engineering, Federal University of Rio de Janeiro, Rio de Janeiro, Brazil. Abstract: Purpose: Recently, there has been a growing interest in a methodology for dose planning in radiosynoviorthesis to substitute fixed activity. Clinical practice based on fixed activity frequently does not embrace radiopharmaceutical dose optimization in patients. The aim of this paper is to propose and discuss a dose planning methodology considering the radiological findings of interest obtained by three-dimensional magnetic resonance imaging combined with Monte Carlo simulation in radiosynoviorthesis treatment applied to hemophilic arthropathy. Method: The parameters analyzed were: surface area of the synovial membrane (synovial size), synovial thickness and joint effusion obtained by 3D MRI of nine knees from nine patients on a SIEMENS AVANTO 1.5 T scanner using a knee coil. The 3D Slicer software performed both the semiautomatic segmentation and quantification of these radiological findings. A Lucite phantom 3D MRI validated the quantification methodology. The study used Monte Carlo N-Particle eXtended code version 2.6 for calculating the S-values required to set up the injected activity to deliver a 100 Gy absorbed dose at a determined synovial thickness. The radionuclides assessed were: 90Y, 32P, 188Re, 186Re, 153Sm, and 177Lu, and the present study shows their effective treatment ranges. Result: The quantification methodology was successfully tested, with an error below 5% for different materials. S-values calculated could provide data on the activity to be injected into the joint, considering no extra-articular leakage from joint cavity. Calculation of effective treatment range could assist with the therapeutic decision, with an optimized protocol for dose prescription in RSO. Conclusion: Using 3D Slicer software, this study focused on segmentation and quantification of radiological features such as joint effusion, synovial size and thickness, all obtained by 3D MRI in patients knees with hemophilic arthropathy. The combination of synovial size and thickness with the parameters obtained by Monte Carlo simulation such as effective treatment range and S-value, from which is calculated the injected activity, could be used for treatment planning in RSO. Data from this methodology could be a potential aid to clinical decision making by selecting the most suitable radionuclide; justifying the procedure, fractioning the dose and the calculated injected activity for children and adolescents, considering both the synovial size and thickness. |
Device-specific Evaluation of Intraventricular Left Ventricular Assist Device Position by Quantitative Coaxiality Analysis
|
Publication: J Surg Res. 2017 Jun 1;213:110-4. PMID: 28601303 Authors: Anselmi A, Collin S, Haigron P, Verhoye JP, Flecher E. Institution: INSERM U1099, Rennes, France. Abstract: Background: Patient-specific anatomy may influence the final intraventricular positioning of inflow cannula in left ventricular assist device (LVAD) recipients. An association exists between such positioning and clinical outcomes (specifically, orientation toward the interventricular septum has negative prognostic implications). Alternative commercially available LVADs are characterized by markedly different design, with potential consequences on intrathoracic fitting among individual patients. Material and Methods: A cohort of 13 LVAD recipients (either HeartMate II-group A or Jarvik 2000 Flowmaker-group B) was evaluated. On postoperative computed tomography scans, we reconstructed the implanted LVAD (semiautomatic segmentation), defined the target mitral orifice (3D Slicer software), and built a coordinate system to quantify the coaxiality of the cannula with the mitral valve axis (angles φ and θ, expressed as percentage variation from the ideal value φ = θ = 0°). Results: Group A presented significantly greater average percentage variation of the φ angle (significantly greater orientation of the intraventricular cannula toward the interventricular septum; 33.2% ± 32.1% versus 1.9% ± 0.9%, P = 0.001). Group A presented significantly greater average percentage variation of the θ angle (52.7% ± 23.6% versus 14.5% ± 6.3%, P = 0.013). Conclusions: The device assessed in group B showed in the present series better average coaxiality with the mitral orifice. Such finding is related with its design (total intraventricular placement) and interaction with thoracic structures. The present method is being integrated in the development of LVAD virtual implantation tools and may help physicians in patient-specific selection among alternative devices. |
Anser EMT: The First Open-Source Electromagnetic Tracking Platform for Image-Guided Interventions
|
Publication: Int J Comput Assist Radiol Surg. 2017 Jun;12(6):1059-67. PMID: 28357627 Authors: Jaeger HA, Franz AM, O'Donoghue K, Seitel A, Trauzettel F, Maier-Hein L, Cantillon-Murphy P. Institution: Institute of Image Guided Surgery, Strasbourg, France. Abstract: Purpose: Electromagnetic tracking is the gold standard for instrument tracking and navigation in the clinical setting without line of sight. Whilst clinical platforms exist for interventional bronchoscopy and neurosurgical navigation, the limited flexibility and high costs of electromagnetic tracking (EMT) systems for research investigations mitigate against a better understanding of the technology's characterization and limitations. The Anser project provides an open-source implementation for EMT with particular application to image-guided interventions. Methods: This work provides implementation schematics for our previously reported EMT system which relies on low-cost acquisition and demodulation techniques using both National Instruments and Arduino hardware alongside MATLAB support code. The system performance is objectively compared to other commercial tracking platforms using the Hummel assessment protocol. Results: Positional accuracy of 1.14 mm and angular rotation accuracy of [Formula: see text] are reported. Like other EMT platforms, Anser is susceptible to tracking errors due to eddy current and ferromagnetic distortion. The system is compatible with commercially available EMT sensors as well as the Open Network Interface for image-guided therapy (OpenIGTLink) for easy communication with visualization and medical imaging toolkits such as MITK and 3D Slicer. Conclusions: By providing an open-source platform for research investigations, we believe that novel and collaborative approaches can overcome the limitations of current EMT technology. |
The Effects of Iterative Reconstruction and Kernel Selection on Quantitative Computed Tomography Measures of Lung Density
|
Publication: Med Phys. 2017 Jun;44(6):2267-80. PMID: 28376262 Authors: Rodriguez A, Ranallo FN, Judy PF, Fain SB. Institution: Department of Medical Physics, University of Wisconsin School of Medicine and Public Health, Madison, WI, USA. Abstract: Purpose: To determine the effects of iterative reconstruction (IR) and high frequency kernels on quantitative computed tomography (qCT) density measures at reduced X-ray dose. Materials and Methods: The COPDGene 2 Phantom (CTP 698, The Phantom Laboratory, Salem, NY) with four embedded lung mimicking foam densities (12lb, 20lb, and 4lb), as well as water, air, and acrylic reference inserts was imaged using a GE 64 slice CT750 HD scanner in helical mode with four current-time products ranging from 12-100 mAs. The raw acquired data was reconstructed using standard (STD - low frequency) and Bone (high frequency) kernels with filtered back projection (FBP), 100% ASIR, and Veo reconstruction algorithms. The reference density inserts were manually segmented using 3D Slicer and the mean, standard deviation, and histograms of the segmented regions were generated using Fiji for each reconstruction. Measurements of threshold values placed on the cumulative frequency distribution of voxels determined by these measured histograms at 5%, PD5phant , and 15%, PD15phant , (analogous to the relative area below -950 HU (RA950) and percent density 15 (PD15) in human lung emphysema quantification, respectively), were also performed. Results: The use of high-resolution kernels in conjunction with ASIR, and Veo did not significantly affect the mean Hounsfield units (HU) of each of the density standards (<4 HU deviation) and current-time products within the phantom when compared with the STD+FBP reconstruction conventionally used in clinical applications. A truncation of the scanner reported HU values at -1024 that shifts the mean towards more positive values was found to cause a systematic error in lower attenuating regions. Use of IR drove convergence toward the mean of measured histograms (~100-137% increase in the number measured voxels at the mean of the histogram) while the combination of Bone+ASIR preserved the standard deviation of HU values about the mean compared to STD+FBP, with the added effect of improved spatial resolution and accuracy in airway measures. PD5phant and PD15phant were most similar between the Bone+ASIR and STD+FBP in all regions except those affected by the -1024 truncation artifact. Conclusions: Extension of the scanner reportable HU values below the present limit of -1024 will mitigate discrepancies found in qCT lung densitometry in low-density regions. The density histogram became more sharply peaked and standard deviation was reduced for IR, directly effecting density thresholds, PD5phant and PD15phant, placed on the cumulative frequency distribution of each region in the phantom, which serve as analogs to RA950 and PD15 typically used in lung density quantitation. The combination of high frequency kernels (Bone) with ASIR mitigates this effect and preserves density measures derived from the image histogram. Moreover, previous studies have shown improved accuracy of qCT airway measures of wall thickness (WT) and wall area percentage (WA%) when using high frequency kernels in combination with ASIR to better represent airway walls. The results therefore suggest an IR approach for accurate assessment of airway and parenchymal density measures in the lungs. Funding:
|
Infantile Cranial Fasciitis: Case-based Review and Operative Technique
|
Publication: Childs Nerv Syst. 2017 Jun;33(6):899-908. PMID: 28451777 Authors: Flouty OE, Piscopo AJ, Holland MT, Abode-Iyamah K, Bruch L, Menezes AH, Dlouhy BJ.
Abstract: Background: Cranial fasciitis (CF) is an uncommon benign primary lesion of the skull that typically affects the pediatric age group. Due to the rarity of CF, no prospective studies exist. Earliest description of this condition dates to 1980. The limited scientific and clinical literature regarding CF is dominated by case reports. For these reasons, questions pertaining to the true incidence, genetic risk factors, prognosis, and long-term outcome remain unanswered. Discussion: Clinically, CF presents as a firm, painless, growing scalp mass that is typically not considered in the differential diagnosis. Preoperative pathognomonic signs and symptoms are absent, and imaging features are often nonspecific. Treatment is typically through complete surgical resection, at which time histopathological examination confirms the diagnosis of CF. Reconstruction of the skull defect in the child is critical. Autograft techniques help maintain a rigid construct that integrates with the native skull while preserving its continued ability to grow. Generally, a good outcome is observed with complete resection. Exemplary Case: We report a case of CF in an infant with emphasis on operative nuances and early follow-up results. Conclusion: CF is a rare fibroproliferative disease that has a poorly defined incidence and long-term follow-up. Due to its locally invasive nature and nonspecific presentation, CF is often difficult to differentiate from malignancies and infections. Complete surgical resection is the best approach for diagnosis and cure. Its occult clinical presentation often allows it to achieve considerable growth, leaving a sizeable skull defect following resection. Since CF presents in the pediatric population, allograft reconstruction is preferred over titanium mesh or other synthetic materials to allow osseous integration and continued uninterrupted skull growth. |
Biomaterial Shell Bending with 3D-printed Templates in Vertical and Alveolar Ridge Augmentation: A Technical Note
|
Publication: Oral Surg Oral Med Oral Pathol Oral Radiol. 2017 Jun;123(6):651-60. PMID: 28215503 Authors: Draenert FG, Gebhart F, Mitov G, Neff A. Institution: Oral & Maxillofacial Surgery, University of Marburg, Germany. Abstract: Objectives: Alveolar ridge and vertical augmentations are challenging procedures in dental implantology. Even material blocks with an interconnecting porous system are never completely resorbed. Shell techniques combined with autologous bone chips are therefore the gold standard. using biopolymers for these techniques is well documented. We applied three-dimensional (3-D) techniques to create an individualized bending model for the adjustment of a plane biopolymer membrane made of polylactide. Study Design: Two cases with a vertical alveolar ridge defect in the maxilla were chosen. The cone beam computed tomography data were processed with a 3D Slicer and the Autodesk Meshmixer to generate data about the desired augmentation result. STL data were used to print a bending model. A 0.2-mm poly-D, L-lactic acid membrane (KLS Matin Inc., Tuttlingen, Germany) was bended accordingly and placed into the defect via a tunnel approach in both cases. A mesh graft of autologous bone chips and hydroxylapatite material was augmented beneath the shell, which was fixed with osteosynthesis screws. Results: The operative procedure was fast and without peri- or postoperative complications or complaints. The panoramic x-ray showed correct fitting of the material in the location. Bone quality at the time of implant placement was type II, resulting in good primary stability. Conclusions: A custom-made 3-D model for bending confectioned biomaterial pieces is an appropriate method for individualized adjustment in shell techniques. The advantages over direct printing of the biomaterial shell and products on the market, such as the Xyoss shell (Reoss Inc., Germany), include cost-efficiency and avoidance of regulatory issues. |
Application of the 3D Slicer Chest Imaging Platform Segmentation Algorithm for Large Lung Nodule Delineation
|
Publication: PLoS One. 2017 Jun 8;12(6):e0178944. PMID: 28594880 | PDF Authors: Yip SSF, Parmar C, Blezek D, Estepar RSJ, Pieper S, Kim J, Aerts HJWL. Institution: Department of Radiation Oncology, Dana-Farber Cancer Institute, Brigham and Women's Hospital, Harvard Medical School, Boston, MA, USA. Abstract: Purpose: Accurate segmentation of lung nodules is crucial in the development of imaging biomarkers for predicting malignancy of the nodules. Manual segmentation is time consuming and affected by inter-observer variability. We evaluated the robustness and accuracy of a publically available semiautomatic segmentation algorithm that is implemented in the 3D Slicer Chest Imaging Platform (CIP) and compared it with the performance of manual segmentation. Methods: CT images of 354 manually segmented nodules were downloaded from the LIDC database. Four radiologists performed the manual segmentation and assessed various nodule characteristics. The semiautomatic CIP segmentation was initialized using the centroid of the manual segmentations, thereby generating four contours for each nodule. The robustness of both segmentation methods was assessed using the region of uncertainty (δ) and Dice similarity index (DSI). The robustness of the segmentation methods was compared using the Wilcoxon-signed rank test (pWilcoxon<0.05). The Dice similarity index (DSIAgree) between the manual and CIP segmentations was computed to estimate the accuracy of the semiautomatic contours. Results: The median computational time of the CIP segmentation was 10 s. The median CIP and manually segmented volumes were 477 ml and 309 ml, respectively. CIP segmentations were significantly more robust than manual segmentations (median δCIP = 14ml, median dsiCIP = 99% vs. median δmanual = 222ml, median dsimanual = 82%) with pWilcoxon~10-16. The agreement between CIP and manual segmentations had a median DSIAgree of 60%. While 13% (47/354) of the nodules did not require any manual adjustment, minor to substantial manual adjustments were needed for 87% (305/354) of the nodules. CIP segmentations were observed to perform poorly (median DSIAgree≈50%) for non-/sub-solid nodules with subtle appearances and poorly defined boundaries. Conclusion: Semi-automatic CIP segmentation can potentially reduce the physician workload for 13% of nodules owing to its computational efficiency and superior stability compared to manual segmentation. Although manual adjustment is needed for many cases, CIP segmentation provides a preliminary contour for physicians as a starting point. Funding:
|
Comparison of manual (left) and CIP-based (right) segmentation. Yellow shaded region indicated the disagreement (or region of uncertainty) between contours performed by four radiologists (bottom left) or different CIP-based seed locations (bottom right). In this example, the region of uncertainty for manual segmentation was 3222 ml while the region was only 46 ml for the CIP-based segmentation. dsiCIP was ≈ 100%, while dsimanual was 88%. |
Theoretical Observation on Diagnosis Maneuver for Benign Paroxysmal Positional Vertigo
|
Publication: Acta Otolaryngol. 2017 Jun;137(6):567-71. PMID: 28084876 Authors: Yang XK, Zheng YY, Yang XG. Institution: Department of Neurology, Wenzhou People's Hospital, Wenzhou, Zhejiang, PR China. Abstract: Conclusion: To make a comprehensive analysis with a variety of diagnostic maneuvers is conducive to the correct diagnosis and classification of BPPV. Objective: Based on the standard spatial coordinate-based semicircular canal model for theoretical observation on diagnostic maneuvers for benign paroxysmal positional vertigo (BPPV) to analyze the meaning and key point of each step of the maneuver. Materials and Methods: This study started by building a standard model of semicircular canal with space orientation by segmentation of the inner ear done with the 3D Slicer software based on MRI scans, then gives a demonstration and observation of BPPV diagnostic maneuvers by using the model. Results: The supine roll maneuver is mainly for diagnosis of lateral semicircular canal BPPV. The Modified Dix-Hallpike maneuver is more specific for the diagnosis of posterior semicircular canal BPPV. The side-lying bow maneuver designed here is theoretically suitable for diagnosis of anterior semicircular canal BPPV. |
Clinical Outcomes of an Endoscopic Transclival and Transpetrosal Approach for Primary Skull Base Malignancies Involving the Clivus
|
Publication: J Neurosurg. 2017 Jun 2:1-9. PMID: 28574308 | PDF Authors: Kim YH1, Jeon C, Se YB, Hong SD, Seol HJ, Lee JI, Park CK, Kim DG, Jung HW, Han DH, Nam DH, Kong DS. Institution: Department of Neurosurgery, Samsung Medical Center, Sungkyunkwan University School of Medicine, Seoul, Republic of Korea. Abstract: Objective: The endoscopic endonasal approach for treating primary skull base malignancies involving the clivus is a formidable task. The authors hypothesized that tumor involvement of nearby critical anatomical structures creates hurdles to endoscopic gross-total resection (GTR). The aim of this study was to retrospectively review the clinical outcomes of patients who underwent an endoscopic endonasal approach to treat primary malignancies involving the clivus and to analyze prognostic factors for GTR. Methods: Between January 2009 and November 2015, 42 patients underwent the endoscopic endonasal approach for resection of primary skull base malignancies involving the clivus at 2 independent institutions. Clinical data; tumor locations within the clivus; and anatomical involvement of the cavernous or paraclival internal carotid artery, cisternal trigeminal nerve, hypoglossal canal, and dura mater were investigated to assess the extent of resection. Possible prognostic factors affecting GTR were also analyzed. The preoperative tumor volume was measured radiographically with 3D Slicer. Results: Of the 42 patients, 37 were diagnosed with chordomas and 5 were diagnosed with chondrosarcomas. The mean (± SD) preoperative tumor volume was 25.2 ± 30.5 cm3 (range 0.8-166.7 cm3). GTR was achieved in 28 patients (66.7%) and subtotal resection in 14 patients (33.3%). All tumors were classified as upper (n = 17), middle (n = 17), or lower (n = 8) clival tumors based on clival involvement, and as central (24 [57.1%]) or paramedian (18 [42.9%]) based on laterality of the tumor. Univariate analysis identified the tumor laterality (OR 6.25, 95% CI 1.51-25.86; p = 0.011) as significantly predictive of GTR. In addition, the laterality of the tumor was found to be a statistically significant predictor in multivariate analysis (OR 41.16, 95% CI 1.12-1512.65; p = 0.043). Conclusions: An endoscopic endonasal approach can provide favorable clinical and surgical outcomes. However, the tumor laterality should be considered as a potential obstacle to total removal. |
|
Publication: Diagn Interv Radiol. 2017 May-Jun;23(3):227-32. PMID: 28420598 | PDF Authors: Marker DR, U Thainual P, Ungi T, Flammang AJ, Fichtinger G, Iordachita II, Carrino JA, Fritz J. Institution: Russel H. Morgan Department of Radiology and Radiological Science, Johns Hopkins University School of Medicine, Baltimore, MD, USA. Abstract: Purpose: The high contrast resolution and absent ionizing radiation of interventional magnetic resonance imaging (MRI) can be advantageous for paravertebral sympathetic nerve plexus injections. We assessed the feasibility and technical performance of MRI-guided paravertebral sympathetic injections utilizing augmented reality navigation and 1.5 T MRI scanner. Methods: A total of 23 bilateral injections of the thoracic (8/23, 35%), lumbar (8/23, 35%) and hypogastric (7/23, 30%) paravertebral sympathetic plexus were prospectively planned in twelve human cadavers using a 1.5 Tesla (T) MRI scanner and augmented reality navigation system. MRI-conditional needles were used. Gadolinium-DTPA-enhanced saline was injected. Outcome variables included the number of control magnetic resonance images, target error of the needle tip, punctures of critical nontarget structures, distribution of the injected fluid, and procedure length. The isotropic 3D MR images were transferred into the navigation module (PerkStation) of the 3D Slicer software for interactive 3D evaluation of the anatomy using its DICOM viewer function. Results: Augmented-reality navigated MRI guidance at 1.5 T provided detailed anatomical visualization for successful targeting of the paravertebral space, needle placement, and perineural paravertebral injections in 46 of 46 targets (100%). A mean of 2 images (range, 1-5 images) were required to control needle placement. Changes of the needle trajectory occurred in 9 of 46 targets (20%) and changes of needle advancement occurred in 6 of 46 targets (13%), which were statistically not related to spinal regions (P = 0.728 and P = 0.86, respectively) and cadaver sizes (P = 0.893 and P 0.859, respectively). The mean error of the needle tip was 3.9±1.7 mm. There were no punctures of critical nontarget structures. The mean procedure length was 33±12 min. Conclusion: 1.5 T augmented reality-navigated interventional MRI can provide accurate imaging guidance for perineural injections of the thoracic, lumbar, and hypogastric sympathetic plexus. Funding:
|
Procedural photograph demonstrating the operator’s augmented reality consisting of a hybrid view of MR image and underlying cadaver. The hybrid view is being created by the reflection of the target MR image (black arrow) from a semitransparent mirror (white arrow) into the line of sight of the operator, where it merges with the underlying cadaver (gray arrow). Location, size, and skin contour of MR image and cadaver are matched through co-registration by the image-overlay navigation system. |
From Medical Imaging Data to 3D Printed Anatomical Models
|
Publication: PLoS One. 2017 May 31;12(5):e0178540. PMID: 28562693 | PDF Authors: Bücking TM, Hill ER, Robertson JL, Maneas E, Plumb AA, Nikitichev DI. Institution: Department of Medical Physics and Biomedical Engineering, University College London, London, UK. Abstract: Models are important training and teaching tools in the clinical environment and are routinely used in medical imaging research. Advances in segmentation algorithms and increased availability of three-dimensional (3D) printers have made it possible to create cost-efficient patient-specific models without expert knowledge. We introduce a general workflow that can be used to convert volumetric medical imaging data (as generated by Computer Tomography (CT)) to 3D printed physical models. This process is broken up into three steps: image segmentation, mesh refinement and 3D printing. To lower the barrier to entry and provide the best options when aiming to 3D print an anatomical model from medical images, we provide an overview of relevant free and open-source image segmentation tools as well as 3D printing technologies. We demonstrate the utility of this streamlined workflow by creating models of ribs, liver, and lung using a Fused Deposition Modelling 3D printer. |
3D printed anatomical models generated from medical imaging data using 3D Slicer and Seg3D. Part of the ribcage (a), the liver (b), and the right lung (c). |
3D Printing and Modelling of Customized Implants and Surgical Guides for Non-human Primates
|
Publication: J Neurosci Methods. 2017 May 13;286:38-55. PMID: 28512008 | PDF Authors: Chen X, Possel JK, Wacongne C, van Ham AF, Klink PC, Roelfsema PR. Institution: Department of Vision & Cognition, Netherlands Institute for Neuroscience, Amsterdam, Netherlands. Abstract: Background: Primate neurobiologists use chronically implanted devices such as pedestals for head stabilization and chambers to gain access to the brain and study its activity. Such implants are skull-mounted, and made from a hard, durable material, such as titanium. New Method: Here we present a low-cost method of creating customized 3D-printed cranial implants that are tailored to the anatomy of individual animals. We performed pre-surgical computed tomography (CT) and magnetic resonance (MR) scans to generate three-dimensional (3D) models of the skull and brain. We then used 3D modeling software to design implantable head posts, chambers, and a pedestal anchorage base, as well as craniotomy guides to aid us during surgery. Prototypes were made from plastic or resin, while implants were 3D-printed in titanium. The implants underwent post-processing and received a coating of osteocompatible material to promote bone integration. Results: Their tailored fit greatly facilitated surgical implantation, and eliminated the gap between the implant and the bone. To date, our implants remain robust and well-integrated with the skull. Comparison with Existing Method: (s): Commercial-off-the-shelf solutions typically come with a uniform, flat base, preventing them from sitting flush against the curved surface of the skull. This leaves gaps for fluid and tissue ingress, increasing the risk of microbial infection and tissue inflammation, as well as implant loss. Conclusions: The use of 3D printing technology enabled us to quickly and affordably create unique, complex designs, avoiding the constraints levied by traditional production methods, thereby boosting experimental success and improving the wellbeing of the animals. Funding:
|
Accuracy of Mobile Biplane X-ray Imaging in Measuring 6-Degree-of-Freedom Patellofemoral Kinematics during Overground Gait
|
Publication: J Biomech. 2017 May 24;57:152-6. PMID: 28454908 Authors: Gray HA, Guan S, Pandy MG. Institution: Department of Mechanical Engineering, University of Melbourne, Victoria, Australia. Abstract: The aim of this study was to evaluate the accuracy with which mobile biplane X-ray imaging can be used to measure patellofemoral kinematics of the intact knee during overground gait. A unique mobile X-ray imaging system tracked and recorded biplane fluoroscopic images of two human cadaver knees during simulated overground walking at a speed of 0.7m/s. Six-degree-of-freedom patellofemoral kinematics were calculated using a bone volumetric model-based method and the results then compared against those derived from a gold-standard bead-based method. RMS errors for patellar anterior translation, superior translation and lateral shift were 0.19mm, 0.34mm and 0.37mm, respectively. RMS errors for patellar flexion, lateral tilt and lateral rotation were 1.08°, 1.15° and 1.46°, respectively. The maximum RMS error for patellofemoral translations was approximately one-half that reported previously for tibiofemoral translations using the same mobile X-ray imaging system while the maximum RMS error for patellofemoral rotations was nearly two times larger than corresponding errors reported for tibiofemoral rotations. The lower accuracy in measuring patellofemoral rotational motion is likely explained by the symmetric nature of the patellar geometry and the smaller size of the patella compared to the tibia. |
Quality of Radiomic Features in Glioblastoma Multiforme: Impact of Semi-Automated Tumor Segmentation Software
|
Publication: Korean J Radiol. 2017 May-Jun;18(3):498-509. PMID: 28458602 | PDF Authors: Lee M, Woo B, Kuo MD, Jamshidi N, Kim JH. Institution: Center for Medical-IT Convergence Technology Research, Advanced Institutes of Convergence Technology, Seoul National University, Suwon, Korea. Abstract: Objective: The purpose of this study was to evaluate the reliability and quality of radiomic features in glioblastoma multiforme (GBM) derived from tumor volumes obtained with semi-automated tumor segmentation software. Materials and Methods: MR images of 45 GBM patients (29 males, 16 females) were downloaded from The Cancer Imaging Archive, in which post-contrast T1-weighted imaging and fluid-attenuated inversion recovery MR sequences were used. Two raters independently segmented the tumors using two semi-automated segmentation tools (TumorPrism3D and 3D Slicer). Regions of interest corresponding to contrast-enhancing lesion, necrotic portions, and non-enhancing T2 high signal intensity component were segmented for each tumor. A total of 180 imaging features were extracted, and their quality was evaluated in terms of stability, normalized dynamic range (NDR), and redundancy, using intra-class correlation coefficients, cluster consensus, and Rand Statistic. Results: Our study results showed that most of the radiomic features in GBM were highly stable. Over 90% of 180 features showed good stability (intra-class correlation coefficient [ICC] ≥ 0.8), whereas only 7 features were of poor stability (ICC < 0.5). Most first order statistics and morphometric features showed moderate-to-high NDR (4 > NDR ≥1), while above 35% of the texture features showed poor NDR (< 1). Features were shown to cluster into only 5 groups, indicating that they were highly redundant. Conclusion: The use of semi-automated software tools provided sufficiently reliable tumor segmentation and feature stability; thus helping to overcome the inherent inter-rater and intra-rater variability of user intervention. However, certain aspects of feature quality, including NDR and redundancy, need to be assessed for determination of representative signature features before further development of radiomics. |
Example of segmentation results with two semi-automated software tools. Contrast-enhanced, necrotic, and non-enhancing T2 high signal intensity components are indicated by red, green, and blue color, respectively. A. Represents case in which similar segmentation results were produced. B. Represents case in which difference was observed in segmentation results. FLAIR = fluid-attenuated inversion recovery. |
Prognostic Implications of the Subcellular Localization of Survivin in Glioblastomas Treated with Radiotherapy Plus Concomitant and Adjuvant Temozolomide
|
Publication: J Neurosurg. 2017 Apr 21:1-6. PMID: 28430038 | PDF Authors: Saito T, Sugiyama K, Takeshima Y, Amatya VJ, Yamasaki F, Takayasu T, Nosaka R, Muragaki Y, Kawamata T, Kurisu K. Institution: Department of Neurosurgery, Tokyo Women's Medical University, Tokyo, Japan. Abstract: Objective: Currently, the standard treatment protocol for patients with newly diagnosed glioblastoma (GBM) includes surgery, radiotherapy, and concomitant and adjuvant temozolomide (TMZ). Various prognostic biomarkers for GBM have been described, including survivin expression. The aim of this study was to determine whether the subcellular localization of survivin correlates with GBM prognosis in patients who received the standard treatment protocol. Methods: The authors retrospectively examined the subcellular localization of survivin (nuclear, cytoplasmic, or both) using immunohistochemistry in 50 patients with GBM who had received the standard treatment. The relationship between survivin localization and overall survival (OS) was assessed with uni- and multivariate analyses including other clinicopathological factors (age, sex, Karnofsky Performance Scale [KPS] score, extent of resection, the use of second-line bevacizumab, O6-methylguanine-DNA methyltransferase [MGMT] status, and MIB-1 labeling index). Result: Log-rank tests revealed that patient age, KPS score, extent of resection, MGMT status, and survivin localization (p < 0.0001) significantly correlated with OS. Multivariate analysis indicated that patient age, MGMT status, and survivin localization significantly correlated with OS. Patients with nuclear localization of survivin had a significantly shorter OS than those in whom survivin expression was exclusively cytoplasmic (median OS 19.5 vs 31.7 months, respectively, HR 5.690, 95% CI 2.068-17.612, p = 0.0006). There was no significant difference in OS between patents whose survivin expression was exclusively nuclear or nuclear/cytoplasmic. Conclusions: Nuclear expression of survivin is a factor for a poor prognosis in GBM patients. Subcellular localization of survivin can help to predict OS in GBM patients treated with the standard protocol. |
An Ovine Model of Cerebral Catheter Venography for Implantation of an Endovascular Neural Interface
|
Publication: J Neurosurg. 2017 Apr 28:1-8. PMID: 28452616 | PDF Authors: Oxley TJ, Opie NL, Rind GS, Liyanage K, John SE, Ronayne S, McDonald AJ, Dornom A, Lovell TJH, Mitchell PJ, Bennett I, Bauquier S, Warne LN, Steward C, Grayden DB, Desmond P, Davis SM, O'Brien TJ, May CN. Institution: Vascular Bionics Laboratory, Department of Medicine, The Royal Melbourne Hospital, Melbourne, Australia. Abstract: Objective: Neural interface technology may enable the development of novel therapies to treat neurological conditions, including motor prostheses for spinal cord injury. Intracranial neural interfaces currently require a craniotomy to achieve implantation and may result in chronic tissue inflammation. Novel approaches are required that achieve less invasive implantation methods while maintaining high spatial resolution. An endovascular stent electrode array avoids direct brain trauma and is able to record electrocorticography in local cortical tissue from within the venous vasculature. The motor area in sheep runs in a parasagittal plane immediately adjacent to the superior sagittal sinus (SSS). The authors aimed to develop a sheep model of cerebral venography that would enable validation of an endovascular neural interface. Methods: Cerebral catheter venography was performed in 39 consecutive sheep. Contrast-enhanced MRI of the brain was performed on 13 animals. Multiple telescoping coaxial catheter systems were assessed to determine the largest wide-bore delivery catheter that could be delivered into the anterior SSS. Measurements of SSS diameter and distance from the motor area were taken. The location of the motor area was determined in relation to lateral and superior projections of digital subtraction venography images and confirmed on MRI. Results: The venous pathway from the common jugular vein (7.4 mm) to the anterior SSS (1.2 mm) was technically challenging to selectively catheterize. The SSS coursed immediately adjacent to the motor cortex (< 1 mm) for a length of 40 mm, or the anterior half of the SSS. Attempted access with 5-Fr and 6-Fr delivery catheters was associated with longer procedure times and higher complication rates. A 4-Fr catheter (internal lumen diameter 1.1 mm) was successful in accessing the SSS in 100% of cases with no associated complications. Complications included procedure-related venous dissection in two major areas: the torcular herophili, and the anterior formation of the SSS. The bifurcation of the cruciate sulcal veins with the SSS was a reliable predictor of the commencement of the motor area. Conclusions: The ovine model for cerebral catheter venography has generalizability to the human cerebral venous system in relation to motor cortex location. This novel model may facilitate the development of the novel field of endovascular neural interfaces that may include preclinical investigations for cortical recording applications such as paralysis and epilepsy, as well as other potential applications in neuromodulation. |
Effectiveness of Endoscopic Surgery for Supratentorial Hypertensive Intracerebral Hemorrhage: A Comparison with Craniotomy
|
Publication: J Neurosurg. 2017 Apr 7:1-7. PMID: 28387618 | PDF Authors: Xu X, Chen X, Li F, Zheng X, Wang Q, Sun G, Zhang J, Xu B. Institution: Department of Neurosurgery, Chinese PLA General Hospital, Beijing, China. Abstract: Objective: The goal of this study was to investigate the effectiveness and practicality of endoscopic surgery for treatment of supratentorial hypertensive intracerebral hemorrhage (HICH) compared with traditional craniotomy. Methods: The authors retrospectively analyzed 151 consecutive patients who were operated on for treatment of supratentorial HICH between January 2009 and June 2014 in the Department of Neurosurgery at Chinese PLA General Hospital. Patients were separated into an endoscopy group (82 cases) and a craniotomy group (69 cases), depending on the surgery they received. The hematoma evacuation rate was calculated using 3D Slicer software to measure the hematoma volume. Comparisons of operative time, intraoperative blood loss, Glasgow Coma Scale score 1 week after surgery, hospitalization time, and modified Rankin Scale score 6 months after surgery were also made between these groups. Results: There was no statistically significant difference in preoperative data between the endoscopy group and the craniotomy group (p > 0.05). The hematoma evacuation rate was 90.5% ± 6.5% in the endoscopy group and 82.3% ± 8.6% in the craniotomy group, which was statistically significant (p < 0.01). The operative time was 1.6 ± 0.7 hours in the endoscopy group and 5.2 ± 1.8 hours in the craniotomy group (p < 0.01). The intraoperative blood loss was 91.4 ± 93.1 ml in the endoscopy group and 605.6 ± 602.3 ml in the craniotomy group (p < 0.01). The 1-week postoperative Glasgow Coma Scale score was 11.5 ± 2.9 in the endoscopy group and 8.3 ± 3.8 in the craniotomy group (p < 0.01). The hospital stay was 11.6 ± 6.9 days in the endoscopy group and 13.2 ± 7.9 days in the craniotomy group (p < 0.05). The mean modified Rankin Scale score 6 months after surgery was 3.2 ± 1.5 in the endoscopy group and 4.1 ± 1.9 in the craniotomy group (p < 0.01). Patients had better recovery in the endoscopy group than in the craniotomy group. Data are expressed as the mean ± SD. Conclusions: Compared with traditional craniotomy, endoscopic surgery was more effective, less invasive, and may have improved the prognoses of patients with supratentorial HICH. Endoscopic surgery is a promising method for treatment of supratentorial HICH. With the development of endoscope technology, endoscopic evacuation will become more widely used in the clinic. Prospective randomized controlled trials are needed. |
Asymmetry in Dentition and Shape of Pharyngeal Arches in the Clonal Fish Chrosomus Eos-neogaeus: Phenotypic Plasticity and Developmental Instability
|
Publication: PLoS One. 2017 Apr 5;12(4):e0174235. PMID: 28380079 | PDF Authors: Leung C, Duclos KK, Grünbaum T, Cloutier R, Angers B. Institution: Department of Biological Sciences, Université de Montréal, Montreal, Quebec, Canada. Abstract: The effect of the environment may result in different developmental outcomes. Extrinsic signals can modify developmental pathways and result in alternative phenotypes (phenotypic plasticity). The environment can also be interpreted as a stressor and increase developmental instability (developmental noise). Directional and fluctuating asymmetry provide a conceptual background to discriminate between these results. This study aims at assessing whether variation in dentition and shape of pharyngeal arches of the clonal fish Chrosomus eos-neogaeus results from developmental instability or environmentally induced changes. A total of 262 specimens of the Chrosomus eos-neogaeus complex from 12 natural sites were analysed. X-ray microcomputed tomography (X-ray micro-CT) was used to visualize the pharyngeal arches in situ with high resolution. Variation in the number of pharyngeal teeth is high in hybrids in contrast to the relative stability observed in both parental species. The basal dental formula is symmetric while the most frequent alternative dental formula is asymmetric. Within one lineage, large variation in the proportion of individuals bearing basal or alternative dental formulae was observed among sites in the absence of genetic difference. Both dentition and arch shape of this hybrid lineage were explained significantly by environmental differences. Only individuals bearing asymmetric dental formula displayed fluctuating asymmetry as well as directional left-right asymmetry for the arches. The hybrids appeared sensitive to environmental signals and intraspecific variation on pharyngeal teeth was not random but reflects phenotypic plasticity. Altogether, these results support the influence of the environment as a trigger for an alternative developmental pathway resulting in left-right asymmetry in dentition and shape of pharyngeal arches. Dicom files were subsequently loaded within the open-source software 3D Slicer (Version 4.5 ). 3D models were rendered from dicom files using the editor module within 3D Slicer and the thresholding algorithm. |
Scanning Laser Optical Tomography for in Toto Imaging of the Murine Cochlea
|
Publication: PLoS One. 2017 Apr 7;12(4):e0175431. PMID: 28388662 | PDF Authors: Nolte L, Tinne N, Schulze J, Heinemann D, Antonopoulos GC, Meyer H, Nothwang HG, Lenarz T, Heisterkamp A, Warnecke A, Ripken T. Institution: Industrial and Biomedical Optics Department, Laser Zentrum Hannover e.V., Hannover, Germany. Abstract: The mammalian cochlea is a complex macroscopic structure due to its helical shape and the microscopic arrangements of the individual layers of cells. To improve the outcomes of hearing restoration in deaf patients, it is important to understand the anatomic structure and composition of the cochlea ex vivo. Hitherto, only one histological technique based on confocal laser scanning microscopy and optical clearing has been developed for in toto optical imaging of the murine cochlea. However, with a growing size of the specimen, e.g., human cochlea, this technique reaches its limitations. Here, we demonstrate scanning laser optical tomography (SLOT) as a valuable imaging technique to visualize the murine cochlea in toto without any physical slicing. This technique can also be applied in larger specimens up to cm3 such as the human cochlea. Furthermore, immunolabeling allows visualization of inner hair cells (otoferlin) or spiral ganglion cells (neurofilament) within the whole cochlea. After image reconstruction, the 3D dataset was used for digital segmentation of the labeled region. As a result, quantitative analysis of position, length and curvature of the labeled region was possible. This is of high interest in order to understand the interaction of cochlear implants (CI) and cells in more detail. To enable correct overlay of the two excitation channels, the general registration algorithm (BRAINS) from the open source software 3D Slicer was used. |
Maximum intensity projections (MIP) were performed on the reconstructed data of samples 1 and 2. (A) MIP of sample 1. The labeled neurofilament appears as a helical shape inside the cochlea. (B) Higher magnification of the highlighted area in A. The dendrites of the spiral ganglions are visible. (C) Negative control (sample 2). Only autofluorescence and nonspecific binding shows the outer shape of the cochlea. (D) Higher magnification of the highlighted area in C. |
Patient Education for Endoscopic Sinus Surgery: Preliminary Experience using 3D-Printed Clinical Imaging Data
|
Publication: J Funct Biomater. 2017 Apr 7;8(2). PMID: 28387702 | PDF Authors: Sander IM, Liepert TT, Doney EL, Leevy WM, Liepert DR. Institution: Department of Biological Sciences, University of Notre Dame, South Bend, IN, USA. Abstract: Within the Ear, Nose, and Throat (ENT) medical space, a relatively small fraction of patients follow through with elective surgeries to fix ailments such as a deviated septum or occluded sinus passage. Patient understanding of their diagnosis and treatment plan is integral to compliance, which ultimately yields improved medical outcomes and better quality of life. Here we report the usage of advanced, polyjet 3D printing methods to develop a multimaterial replica of human nasal sinus anatomy, derived from clinical X-ray computed tomography (CT) data, to be used as an educational aid during physician consultation. The final patient education model was developed over several iterations to optimize material properties, anatomical accuracy and overall display. A two-arm, single-center, randomized, prospective study was then performed in which 50 ENT surgical candidates (and an associated control group, n = 50) were given an explanation of their anatomy, disease state, and treatment options using the education model as an aid. Statistically significant improvements in patient ratings of their physician's explanation of their treatment options (p = 0.020), self-rated anatomical understanding (p = 0.043), self-rated understanding of disease state (p = 0.016), and effectiveness of the visualization (p = 0.007) were noted from the population that viewed the 3D education model, indicating it is an effective tool which ENT surgeons may use to educate and interact with patients. All volumes outside of the volume of interest were masked at a value of −1000 Hounsfield Units (HU). The data was exported in Nifti (.nii) format and opened in 3D Slicer. A 3D surface map for bone was generated using the “Grayscale Modelmaker” tool within 3D Slicer at a threshold of 300 HU. A separate 3D surface map was generated for soft tissue using the same tool and process with a threshold level of −300 HU. Each surface map was exported from 3D Slicer as a .stl file. |
Nasal cavity model generation and fabrication. (A) 3D surface maps generated from CT scan slices of patient nasal cavity used to generate a 3D-printed model; (B) 3D-printed, sliced model, printed with two distinct polymers to represent hard and soft tissues; (C) Single coronal model slice with specific anatomical details highlighted. |
Comprehensive Evaluation of Ten Deformable Image Registration Algorithms for Contour Propagation between CT and Cone-beam CT Images in Adaptive Head & Neck Radiotherapy
|
Publication: PLoS One. 2017 Apr 17;12(4):e0175906. PMID: 28414799 | PDF Authors: Li X, Zhang Y, Shi Y, Wu S, Xiao Y, Gu X, Zhen X, Zhou L. Institution: Department of Biomedical Engineering, Southern Medical University, Guangzhou, Guangdong, China. Abstract: Deformable image registration (DIR) is a critical technic in adaptive radiotherapy (ART) for propagating contours between planning computerized tomography (CT) images and treatment CT/cone-beam CT (CBCT) images to account for organ deformation for treatment re-planning. To validate the ability and accuracy of DIR algorithms in organ at risk (OAR) contour mapping, ten intensity-based DIR strategies, which were classified into four categories-optical flow-based, demons-based, level-set-based and spline-based-were tested on planning CT and fractional CBCT images acquired from twenty-one head & neck (H&N) cancer patients who underwent 6~7-week intensity-modulated radiation therapy (IMRT). Three similarity metrics, i.e., the Dice similarity coefficient (DSC), the percentage error (PE) and the Hausdorff distance (HD), were employed to measure the agreement between the propagated contours and the physician-delineated ground truths of four OARs, including the vertebra (VTB), the vertebral foramen (VF), the parotid gland (PG) and the submandibular gland (SMG). It was found that the evaluated DIRs in this work did not necessarily outperform rigid registration. DIR performed better for bony structures than soft-tissue organs, and the DIR performance tended to vary for different ROIs with different degrees of deformation as the treatment proceeded. Generally, the optical flow-based DIR performed best, while the demons-based DIR usually ranked last except for a modified demons-based DISC used for CT-CBCT DIR. These experimental results suggest that the choice of a specific DIR algorithm depends on the image modality, anatomic site, magnitude of deformation and application. Therefore, careful examinations and modifications are required before accepting the auto-propagated contours, especially for automatic re-planning ART systems. Before performing the rigid and deformable registration, all the images were pre-processed using an open source software 3D Slicer. |
Interactive Outlining of Pancreatic Cancer Liver Metastases in Ultrasound Images
|
Publication: Sci Rep. 2017 Apr 18;7(1):892. PMID: 28420871 | PDF Authors: Egger J, Schmalstieg D, Chen X, Zoller WG, Hann A. Institution: Institute for Computer Graphics and Vision, Graz University of Technology, Graz, Austria. Abstract: Ultrasound (US) is the most commonly used liver imaging modality worldwide. Due to its low cost, it is increasingly used in the follow-up of cancer patients with metastases localized in the liver. In this contribution, we present the results of an interactive segmentation approach for liver metastases in US acquisitions. A (semi-) automatic segmentation is still very challenging because of the low image quality and the low contrast between the metastasis and the surrounding liver tissue. Thus, the state of the art in clinical practice is still manual measurement and outlining of the metastases in the US images. We tackle the problem by providing an interactive segmentation approach providing real-time feedback of the segmentation results. The approach has been evaluated with typical US acquisitions from the clinical routine, and the datasets consisted of pancreatic cancer metastases. Even for difficult cases, satisfying segmentations results could be achieved because of the interactive real-time behavior of the approach. In total, 40 clinical images have been evaluated with our method by comparing the results against manual ground truth segmentations. This evaluation yielded to an average Dice Score of 85% and an average Hausdorff Distance of 13 pixels. We tested our data with the GrowCut implementation that is available in 3D Slicer. |
GrowCut segmentation results for the two metastases from Fig. 9. The left images show the manual initialization of GrowCut: the metastases were initialized with green, and the backgrounds were initialized with yellow. The images in the middle show the segmentation results of GrowCut (green). The right images show a closer view of the segmentation results (green) with a lower opacity. |
The Evolution of Cost-efficiency in Neural Networks during Recovery from Traumatic Brain Injury
|
Publication: PLoS One. 2017 Apr 19;12(4):e0170541. PMID: 28422992 | PDF Authors: Roy A, Bernier RA, Wang J, Benson M, French JJ Jr, Good DC, Hillary FG. Institution: Department of Psychology, The Pennsylvania State University, University Park, PA, USA. Abstract: A somewhat perplexing finding in the systems neuroscience has been the observation that physical injury to neural systems may result in enhanced functional connectivity (i.e., hyperconnectivity) relative to the typical network response. The consequences of local or global enhancement of functional connectivity remain uncertain and this is particularly true for the overall metabolic cost of the network. We examine the hyperconnectivity hypothesis in a sample of 14 individuals with TBI with data collected at approximately 3, 6, and 12 months following moderate and severe TBI. As anticipated, individuals with TBI showed increased network strength and cost early after injury, but by one-year post injury hyperconnectivity was more circumscribed to frontal DMN and temporal-parietal attentional control regions. Cost in these subregions was a significant predictor of cognitive performance. Cost-efficiency analysis in the Power 264 data parcellation suggested that at 6 months post injury the network requires higher cost connections to achieve high efficiency as compared to the network 12 months post injury. These results demonstrate that networks self-organize to re-establish connectivity while balancing cost-efficiency trade-offs. To determine the influence of global pathology on brain networks, we created a 3-dimensional (3D) lesion model for each subject using 3D Slicer that utilizes information from multiple MR sequences, such as SWI, FLAIR, and T1 MPRAGE. |
Biomechanical Flow Amplification Arising From the Variable Deformation of the Subglottic Mucosa
|
Publication: J Voice. 2017 Apr 19. PMID: 28433346 | PDF Authors: Goodyer E, Müller F, Hess M, Kandan K, Farukh F. Institution: De Montfort University, Bio-Informatics Research Group, Leicester, UK. Abstract: Objective: This study mapped the variation in tissue elasticity of the subglottic mucosa, applied these data to provide initial models of the likely deformation of the mucosa during the myoelastic cycle, and hypothesized as to the impact on the process of phonation. Study design: Six donor human larynges were dissected along the sagittal plane to expose the vocal folds and subglottic mucosa. A linear skin rheometer was used to apply a controlled shear force, and the resultant displacement was measured. These data provided a measure of the stress/strain characteristics of the tissue at each anatomic point. A series of measurements were taken at 2-mm interval inferior of the vocal folds, and the change in elasticity was determined. CT images of the excised larynges have been used to create 3D reconstructions with the help of an open-source medical imaging software, 3D Slicer. Results: It was found that the elasticity of the mucosa in the subglottic region increased linearly with distance from the vocal folds in all 12 samples. A simple deformation model indicated that under low pressure conditions the subglottic mucosa will deform to form a cone, which could result in a higher velocity, thus amplifying the low pressure effect resulting from the Venturi principle, and could assist in maintaining laminar flow. Conclusions: This study indicated that the deformation of the subglottic mucosa could play a significant role in the delivery of a low pressure airflow over the vocal folds. A large scale study will now be undertaken to secure more data to evaluate this hypothesis, and using computational fluid dynamics based on actual three-dimensional structure obtained from computed tomography scans the aerodynamics of this region will be investigated. |
Three-dimensional (3D) model of a larynx constructed from a computed tomography scan images (A) showing the full 3D model. (B) and (C) Show the views of larynx looking down the arrow as indicated by the letter P and Q, respectively. CT images of the excised larynges have been used to create 3D reconstructions with the help of an open-source medical imaging software, 3D Slicer. |
HTC Vive MeVisLab Integration via OpenVR for Medical Applications
|
Publication: PLoS One. 2017 Mar 21;12(3):e0173972. PMID: 28323840 | PDF Authors: Egger J, Gall M, Wallner J, Boechat P, Hann A, Li X, Chen X, Schmalstieg D. Institution: Institute of Computer Graphics and Vision, Graz University of Technology, Graz, Austria. Abstract: Virtual Reality, an immersive technology that replicates an environment via computer-simulated reality, gets a lot of attention in the entertainment industry. However, VR has also great potential in other areas, like the medical domain, Examples are intervention planning, training and simulation. This is especially of use in medical operations, where an aesthetic outcome is important, like for facial surgeries. Alas, importing medical data into Virtual Reality devices is not necessarily trivial, in particular, when a direct connection to a proprietary application is desired. Moreover, most researcher do not build their medical applications from scratch, but rather leverage platforms like MeVisLab, MITK, OsiriX or 3D Slicer. These platforms have in common that they use libraries like ITK and VTK, and provide a convenient graphical interface. However, ITK and VTK do not support Virtual Reality directly. In this study, the usage of a Virtual Reality device for medical data under the MeVisLab platform is presented. The OpenVR library is integrated into the MeVisLab platform, allowing a direct and uncomplicated usage of the head mounted display HTC Vive inside the MeVisLab platform. Medical data coming from other MeVisLab modules can directly be connected per drag-and-drop to the Virtual Reality module, rendering the data inside the HTC Vive for immersive virtual reality inspection. |
Accessing Microfluidics through Feature-based Design Software for 3D Printing
|
Publication: PLoS One. 2018 Mar 29;13(3):e0192752. PMID: 29596418 | PDF Authors: Shankles PG, Millet LJ, Aufrecht JA, Retterer ST. Institution: The Bredesen Center for Interdisciplinary Research, The University of Tennessee, Knoxville, TN, USA. Abstract: Additive manufacturing has been a cornerstone of the product development pipeline for decades, playing an essential role in the creation of both functional and cosmetic prototypes. In recent years, the prospects for distributed and open source manufacturing have grown tremendously. This growth has been enabled by an expanding library of printable materials, low-cost printers, and communities dedicated to platform development. The microfluidics community has embraced this opportunity to integrate 3D printing into the suite of manufacturing strategies used to create novel fluidic architectures. The rapid turnaround time and low cost to implement these strategies in the lab makes 3D printing an attractive alternative to conventional micro- and nanofabrication techniques. In this work, the production of multiple microfluidic architectures using a hybrid 3D printing-soft lithography approach is demonstrated and shown to enable rapid device fabrication with channel dimensions that take advantage of laminar flow characteristics. The fabrication process outlined here is underpinned by the implementation of custom design software with an integrated slicer program that replaces less intuitive computer aided design and 3D Slicer software tools. Devices are designed in the program by assembling parameterized microfluidic building blocks. The fabrication process and flow control within 3D printed devices were demonstrated with a gradient generator and two droplet generator designs. Precise control over the printing process allowed 3D microfluidics to be printed in a single step by extruding bridge structures to 'jump-over' channels in the same plane. This strategy was shown to integrate with conventional nanofabrication strategies to simplify the operation of a platform that incorporates both nanoscale features and 3D printed microfluidics. |
Revealing Cancer Subtypes with Higher-Order Correlations Applied to Imaging and Omics Data
|
Publication: BMC Med Genomics. 2017 Mar 31;10(1):20. PMID: 28359308 | PDF Authors: Graim K, Liu TT, Achrol AS, Paull EO, Newton Y, Chang SD, Harsh GR, Cordero SP, Rubin DL, Stuart JM. Institution: Biomedical Engineering, University of California, Santa Cruz, CA, USA. Abstract: Background: Patient stratification to identify subtypes with different disease manifestations, severity, and expected survival time is a critical task in cancer diagnosis and treatment. While stratification approaches using various biomarkers (including high-throughput gene expression measurements) for patient-to-patient comparisons have been successful in elucidating previously unseen subtypes, there remains an untapped potential of incorporating various genotypic and phenotypic data to discover novel or improved groupings. Methods: Here, we present HOCUS, a unified analytical framework for patient stratification that uses a community detection technique to extract subtypes out of sparse patient measurements. HOCUS constructs a patient-to-patient network from similarities in the data and iteratively groups and reconstructs the network into higher order clusters. We investigate the merits of using higher-order correlations to cluster samples of cancer patients in terms of their associations with survival outcomes. Results: In an initial test of the method, the approach identifies cancer subtypes in mutation data of glioblastoma, ovarian, breast, prostate, and bladder cancers. In several cases, HOCUS provides an improvement over using the molecular features directly to compare samples. Application of HOCUS to glioblastoma images reveals a size and location classification of tumors that improves over human expert-based stratification. Conclusions: Subtypes based on higher order features can reveal comparable or distinct groupings. The distinct solutions can provide biologically- and treatment-relevant solutions that are just as significant as solutions based on the original data. Funding:
|
HOCUS of GBM MR Images. a. P-values of survival separation (log-rank test) for each of the orders of clustering across a range of k clusters. b. Kaplan-Meier plot of the third-order HOCUS clusters. c. Images of tumors within each cluster projected onto the MNI brain atlas. Showing sagittal, coronal, axial views. Brightness of color indicates the number of patients with tumor at a given location. Generated using 3D Slicer. d. Violin plot showing tumor volumes within each third-order cluster. e. Molecular (gene expression based) subtypes within the clusters. |
A Study of Volumetric Variations of Basal Nuclei in the Normal Human Brain by Magnetic Resonance Imaging
|
Publication: Clin Anat. 2017 Mar;30(2):175-82. PMID: 28078760 Authors: Elkattan A, Mahdy A, Eltomey M, Ismail R. Institution: Department of Anatomy, Tanta University of Medical Sciences, Tanta, Egypt. Abstract: Knowledge of the effects of healthy aging on brain structures is necessary to identify abnormal changes due to diseases. Many studies have demonstrated age-related volume changes in the brain using MRI. 60 healthy individuals who had normal MRI aged from 20 years to 80 years were examined and classified into three groups: Group I: 21 persons; nine males and 12 females aging between 20-39 years old. Group II: 22 persons; 11 males and 11 females aging between 40-59 years old. Group III: 17 persons; eight males and nine females aging between 60-80 years old. Volumetric analysis was done to evaluate the effect of age, gender and hemispheric difference in the caudate and putamen by the 3D Slicer 4.3.3.1 software using 3D T1-weighted images. Data were analyzed by student's unpaired t test, ANOVA and regression analysis. The volumes of the measured and corrected caudate nuclei and putamen significantly decreased with aging in males. There was a statistically insignificant relation between the age and the volume of the measured caudate nuclei and putamen in females but there was a statistically significant relation between the age and the corrected caudate nuclei and putamen. There was no significant difference on the caudate and putamen volumes between males and females. There was no significant difference between the right and left caudate nuclei volumes. There was a leftward asymmetry in the putamen volumes. The results can be considered as a base to track individual changes with time (aging and CNS diseases). |
Linear Relationship Found by Magnetic Resonance Imaging between Cerebrospinal Fluid Volume and Body Weight in Dogs
|
Publication: Acta Vet Hung. 2017 Mar;65(1):1-12. PMID: 28244335 Authors: Reinitz LZ, Bajzik G, Garamvölgyi R, Benedek B, Petneházy Ö, Lassó A, Abonyi-Tóth Z, Lőrincz B, Sótonyi P. Institution: Department of Anatomy and Histology, University of Veterinary Medicine, Budapest, Hungary. Abstract: Despite numerous studies on cerebrospinal fluid (CSF) and its importance during hydrocephalus or myelography, no reliable values exist about its overall volume in dogs. In this study, our aim was to measure the intracranial (IC) volume of CSF in dogs and assess its possible relationship with body size and the symmetry of the lateral ventricles. We ran a 3D magnetic resonance imaging (MRI) sequence on the central nervous system of 12 healthy, male mongrel dogs between 3-5 years of age and 7.5-35.0 kg body weight. A validated semiautomatic segmentation protocol was implemented to segment the CSF and measure its volume. Values for the volume of the ventricular compartment were between 0.97 and 2.94 ml, with 62.1±11.7% in the lateral ventricles, 17.6±4.9% in the third ventricle, 4.9±1.6% in the aqueductus mesencephali and 15.5±6.6% in the fourth ventricle. In 11 cases a significant asymmetry was found between the lateral ventricles. The results suggest that it may be normal for a dog to have one of the lateral ventricles 1.5 times larger than the other. The correlation between body weight and CSF volume was linear, indicating that the current dosage protocols for myelography, based on a hypothetical proportional relationship with body weight, may have to be revised. |
MITK-OpenIGTLink for Combining Open-Source Toolkits in Real-Time Computer-Assisted Interventions
|
Publication: Int J Comput Assist Radiol Surg. 2017 Mar;12(3):351-61. PMID: 27687984 Authors: Klemm M, Kirchner T, Gröhl J, Cheray D, Nolden M, Seitel A, Hoppe H, Maier-Hein L, Franz AM. Institution: Laboratory for Computer-Assisted Medicine, Department of Electrical Engineering and Information Technology, Offenburg University, Offenburg, Germany. Abstract: Purpose: Due to rapid developments in the research areas of medical imaging, medical image processing and robotics, computer-assisted interventions (CAI) are becoming an integral part of modern patient care. From a software engineering point of view, these systems are highly complex and research can benefit greatly from reusing software components. This is supported by a number of open-source toolkits for medical imaging and CAI such as the medical imaging interaction toolkit (MITK), the public software library for ultrasound imaging research (PLUS) and 3D Slicer. An independent inter-toolkit communication such as the open image-guided therapy link (OpenIGTLink) can be used to combine the advantages of these toolkits and enable an easier realization of a clinical CAI workflow. Methods: MITK-OpenIGTLink is presented as a network interface within MITK that allows easy to use, asynchronous two-way messaging between MITK and clinical devices or other toolkits. Performance and interoperability tests with MITK-OpenIGTLink were carried out considering the whole CAI workflow from data acquisition over processing to visualization. Results: We present how MITK-OpenIGTLink can be applied in different usage scenarios. In performance tests, tracking data were transmitted with a frame rate of up to 1000 Hz and a latency of 2.81 ms. Transmission of images with typical ultrasound (US) and greyscale high-definition (HD) resolutions of [Formula: see text] and [Formula: see text] is possible at up to 512 and 128 Hz, respectively. Conclusion: With the integration of OpenIGTLink into MITK, this protocol is now supported by all established open-source toolkits in the field. This eases interoperability between MITK and toolkits such as PLUS or 3D Slicer and facilitates cross-toolkit research collaborations. MITK and its submodule MITK-OpenIGTLink are provided open source under a BSD-style license (http://mitk.org). |
Increased Cerebellar Gray Matter Volume in Head Chefs
|
Publication: PLoS One. 2017 Feb 9;12(2):e0171457. PMID: 28182712 | PDF Authors: Cerasa A, Sarica A, Martino I, Fabbricatore C, Tomaiuolo F, Rocca F, Caracciolo M, Quattrone A. Institution: Institute of Bioimaging and Molecular Physiology, National Research Council, Catanzaro, Italy. Abstract: Objective: Chefs exert expert motor and cognitive performances on a daily basis. Neuroimaging has clearly shown that that long-term skill learning (i.e., athletes, musicians, chess player or sommeliers) induces plastic changes in the brain thus enabling tasks to be performed faster and more accurately. How a chef's expertise is embodied in a specific neural network has never been investigated. Methods: Eleven Italian head chefs with long-term brigade management expertise and 11 demographically-/ psychologically- matched non-experts underwent morphological evaluations. Results: Voxel-based analysis performed with SUIT, as well as, automated volumetric measurement assessed with Freesurfer, revealed increased gray matter volume in the cerebellum in chefs compared to non-experts. The most significant changes were detected in the anterior vermis and the posterior cerebellar lobule. The magnitude of the brigade staff and the higher performance in the Tower of London test correlated with these specific gray matter increases, respectively. Conclusions: We found that chefs are characterized by an anatomical variability involving the cerebellum. This confirms the role of this region in the development of similar expert brains characterized by learning dexterous skills, such as pianists, rock climbers and basketball players. However, the nature of the cellular events underlying the detected morphological differences remains an open question.
|
Sample color-coded automated brain segmentation results. A 3D surface image (created with 3D Slicer v 4.6) showing typical automated subcortical segmentation of the cerebellum performed by FreeSurfer (v 5.3). Scatter plot of the mean normalized volumes of the left and right cerebellar cortex for each single subject has been plotted. Advanced neuroimaging analysis reveals bilateral cerebellar volumetric increase in the chef group with respect to non-expert individuals. |
Tumor Heterogeneity Assessed by Texture Analysis on Contrast-Enhanced CT in Lung Adenocarcinoma: Association with Pathologic Grade
|
Publication: Oncotarget. 2017 Feb 16;8(32):53664-74. PMID: 28881840 | PDF Authors: Liu Y, Liu S, Qu F, Li Q, Cheng R, Ye Z. Institution: Department of Radiology, Tianjin Medical University Cancer Institute and Hospital, National Clinical Research Center of Cancer, Key Laboratory of Cancer Prevention and Therapy, Tianjin, China. Abstract: Objectives: To investigate whether texture features on contrast-enhanced computed tomography (CECT) images of lung adenocarcinoma have association with pathologic grade. Methods: A cohort of 148 patients with surgically operated adenocarcinoma was retrospectively reviewed. Fifty-four CT features of the primary lung tumor were extracted from CECT images using open-source 3D Slicer software; meanwhile, enhancement homogeneity was evaluated by two radiologists using visual assessment. Multivariate logistic regression analysis was performed to determine significant image indicator of pathologic grade. Results: Tumors of intermediate grade were more likely to be never smokers (P=0.020). Enhancement heterogeneity by visual assessment showed no statistical difference between intermediate grade and high grade (P=0.671). Among those 54 features, 29 of them were significantly associated with pathologic grade. Multivariate logistic regression analyses identified F33 (Homogeneity 1) (P=0.005) and F38 (Inverse Variance) (P=0.032) as unique independent image indicators of pathologic grade, and the AUC calculated from this model (AUC=0.834) was higher than clinical model (AUC=0.615) (P=0.0001).Conclusions Our study revealed that texture analysis on CECT images could be helpful in predicting pathologic grade of lung adenocarcinoma. |
Example of CT images showing segmentation of lung tumor. Semiautomatic tumor segmentation was done on every slice of the tumor using 3D Slicer (a), and the 3D view of the segmented tumor (b) which was shown in yellow. |
SEEG Assistant: A 3D Slicer Extension to Support Epilepsy Surgery
|
Publication: BMC Bioinformatics. 2017 Feb 23;18(1):124. PMID: 28231759 | PDF Authors: Narizzano M, Arnulfo G, Ricci S, Toselli B, Tisdall M, Canessa A, Fato MM, Cardinale F. Institution: Department of Informatics, Bioengineering Robotics and System engineering (DIBRIS), University of Genoa, Genova, Italy. Abstract: Background: In the evaluation of Stereo-Electroencephalography (SEEG) signals, the physicist's workflow involves several operations, including determining the position of individual electrode contacts in terms of both relationship to grey or white matter and location in specific brain regions. These operations are (i) generally carried out manually by experts with limited computer support, (ii) hugely time consuming, and (iii) often inaccurate, incomplete, and prone to errors. Results: In this paper we present SEEG Assistant, a set of tools integrated in a single 3D Slicer extension, which aims to assist neurosurgeons in the analysis of post-implant structural data and hence aid the neurophysiologist in the interpretation of SEEG data. SEEG Assistant consists of (i) a module to localize the electrode contact positions using imaging data from a thresholded post-implant CT, (ii) a module to determine the most probable cerebral location of the recorded activity, and (iii) a module to compute the Grey Matter Proximity Index, i.e. the distance of each contact from the cerebral cortex, in order to discriminate between white and grey matter location of contacts. Finally, exploiting 3D Slicer capabilities, SEEG Assistant offers a Graphical User Interface that simplifies the interaction between the user and the tools. SEEG Assistant has been tested on 40 patients segmenting 555 electrodes, and it has been used to identify the neuroanatomical loci and to compute the distance to the nearest cerebral cortex for 9626 contacts. We also performed manual segmentation and compared the results between the proposed tool and gold-standard clinical practice. As a result, the use of SEEG Assistant decreases the post implant processing time by more than 2 orders of magnitude, improves the quality of results and decreases, if not eliminates, errors in post implant processing. Conclusions: The SEEG Assistant Framework for the first time supports physicists by providing a set of open-source tools for post-implant processing of SEEG data. Furthermore, SEEG Assistant has been integrated into 3D Slicer , a software platform for the analysis and visualization of medical images, overcoming limitations of command-line tools. |
CPE out performs manual segmentation in complex and critical cases. a As an example of SEEG complexity, we show MRI and thresholded post-implant CT scans for one subject from our cohort. Contacts are shown as groups of white voxels. This case illustrates the complexity of SEEG implants with electrode shafts following non-planar directions (e.g. X), shafts targeting almost the same geometrical point (e.g. R and R’). b CPE segments all contacts (green spheres) belonging to each electrode from post-implant CT scans, represented here as red 3D meshes obtained tessellating the thresholded data to ease visualization. c Show the right pial surface with 3D post-implant thresholded-CT meshes and the cut plane used in panel d where the example of X and X’ electrodes are shown. Those examples represent the case of non-planar insertion trajectories which yielded an artefactually fused electrode. CPE integrating the knowledge of the electrode model can segment the contact positions more accurately than visual inspection. |
Associations of Radiomic Data Extracted from Static and Respiratory-Gated CT Scans with Disease Recurrence in Lung Cancer Patients Treated with SBRT
|
Publication: PLoS One. 2017 Jan 3;12(1):e0169172. PMID: 28046060 | PDF Authors: Huynh E, Coroller TP, Narayan V, Agrawal V, Romano J, Franco I, Parmar C, Hou Y, Mak RH, Aerts HJ. Institution: Department of Radiation Oncology, Dana-Farber Cancer Institute, Brigham and Women's Hospital, Harvard Medical School, Boston, USA. Abstract: Radiomics aims to quantitatively capture the complex tumor phenotype contained in medical images to associate them with clinical outcomes. This study investigates the impact of different types of computed tomography (CT) images on the prognostic performance of radiomic features for disease recurrence in early stage non-small cell lung cancer (NSCLC) patients treated with stereotactic body radiation therapy (SBRT). 112 early stage NSCLC patients treated with SBRT that had static free breathing (FB) and average intensity projection (AIP) images were analyzed. Nineteen radiomic features were selected from each image type (FB or AIP) for analysis based on stability and variance. The selected FB and AIP radiomic feature sets had 6 common radiomic features between both image types and 13 unique features. The prognostic performances of the features for distant metastasis (DM) and locoregional recurrence (LRR) were evaluated using the concordance index (CI) and compared with two conventional features (tumor volume and maximum diameter). P-values were corrected for multiple testing using the false discovery rate procedure. None of the FB radiomic features were associated with DM, however, seven AIP radiomic features, that described tumor shape and heterogeneity, were (CI range: 0.638-0.676). Conventional features from FB images were not associated with DM, however, AIP conventional features were (CI range: 0.643-0.658). Radiomic and conventional multivariate models were compared between FB and AIP images using cross validation. The differences between the models were assessed using a permutation test. AIP radiomic multivariate models (median CI = 0.667) outperformed all other models (median CI range: 0.601-0.630) in predicting DM. None of the imaging features were prognostic of LRR. Therefore, image type impacts the performance of radiomic models in their association with disease recurrence. AIP images contained more information than FB images that were associated with disease recurrence in early stage NSCLC patients treated with SBRT, which suggests that AIP images may potentially be more optimal for the development of an imaging biomarker. Funding:
|
A) Examples of free breathing (FB) and average intensity projection (AIP) images, demonstrating the observable differences in tumor phenotype between each image type. AIP images were reconstructed from 4D computed tomography (CT) scans. B) Schematic representation of the radiomics workflow for FB and AIP images. I. CT images of the patient are acquired and the tumor is segmented. II. Imaging features (radiomic and conventional features) are extracted from the tumor volume. III. Radiomic features undergo a feature dimension reduction process to generate a low-dimensional feature set based on feature stability and variance. IV. Imaging features are then analyzed with clinical outcomes to evaluate their prognostic power. FB and AIP radiomics features are compared. A set of 644 radiomic features was extracted from tumor volumes isolated from FB or AIP images (Fig 1B) using an in-house Matlab 2013 toolbox and 3D Slicer 4.4.0 software |
Early Experiences of Planning Stereotactic Radiosurgery using 3D Printed Models of Eyes with Uveal Melanomas
|
Publication: Clin Ophthalmol. 2017 Jan 31;11:267-71. PMID: 28203052 | PDF Authors: Furdová A, Sramka M, Thurzo A, Furdová A. Institution: Department of Ophthalmology, Faculty of Medicine, Comenius University, Bratislava, Slovakia. Abstract: Objective: The objective of this study was to determine the use of 3D printed model of an eye with intraocular tumor for linear accelerator-based stereotactic radiosurgery. Methods: The software for segmentation (3D Slicer) created virtual 3D model of eye globe with tumorous mass based on tissue density from computed tomography and magnetic resonance imaging data. A virtual model was then processed in the slicing software (Simplify3D®) and printed on 3D printer using fused deposition modeling technology. The material that was used for printing was polylactic acid. Results: In 2015, stereotactic planning scheme was optimized with the help of 3D printed model of the patient's eye with intraocular tumor. In the period 2001-2015, a group of 150 patients with uveal melanoma (139 choroidal melanoma and 11 ciliary body melanoma) were treated. The median tumor volume was 0.5 cm3 (0.2-1.6 cm3). The radiation dose was 35.0 Gy by 99% of dose volume histogram. Conclusion: The 3D printed model of eye with tumor was helpful in planning the process to achieve the optimal scheme for irradiation which requires high accuracy of defining the targeted tumor mass and critical structures. |
A) Virtual model of the eye, outer view; arrow indicates optic nerve. A virtual 3D model of eye globe with tumor based on tissue density was created from CT and MRI data by using the 3D Slicer software for segmentation. |
Intra-rater Variability in Low-grade Glioma Segmentation
|
Publication: J Neurooncol. 2017 Jan;131(2):393-402. PMID: 27837437 Authors: Bø HK, Solheim O, Jakola AS, Kvistad KA, Reinertsen I, Berntsen EM. Institution: Department of Radiology and Nuclear Medicine, St. Olavs University Hospital, Trondheim, Norway. Abstract: Assessment of size and growth are key radiological factors in low-grade gliomas (LGGs), both for prognostication and treatment evaluation, but the reliability of LGG-segmentation is scarcely studied. With a diffuse and invasive growth pattern, usually without contrast enhancement, these tumors can be difficult to delineate. The aim of this study was to investigate the intra-observer variability in LGG-segmentation for a radiologist without prior segmentation experience. Pre-operative 3D FLAIR images of 23 LGGs were segmented three times in the software 3D Slicer. Tumor volumes were calculated, together with the absolute and relative difference between the segmentations. To quantify the intra-rater variability, we used the Jaccard coefficient comparing both two (J2) and three (J3) segmentations as well as the Hausdorff Distance (HD). The variability measured with J2 improved significantly between the two last segmentations compared to the two first, going from 0.87 to 0.90 (p = 0.04). Between the last two segmentations, larger tumors showed a tendency towards smaller relative volume difference (p = 0.07), while tumors with well-defined borders had significantly less variability measured with both J2 (p = 0.04) and HD (p < 0.01). We found no significant relationship between variability and histological sub-types or Apparent Diffusion Coefficients (ADC). We found that the intra-rater variability can be considerable in serial LGG-segmentation, but the variability seems to decrease with experience and higher grade of border conspicuity. Our findings highlight that some criteria defining tumor borders and progression in 3D volumetric segmentation is needed, if moving from 2D to 3D assessment of size and growth of LGGs. |
Hybrid Positron Emission Tomography Segmentation of Heterogeneous Lung Tumors using 3D Slicer: Improved Growcut Algorithm with Threshold Initialization
|
Publication: J. Med. Imag. 2017 Jan-Mar;4(1), 011009. PMID: 28149920 | PDF Authors: Thomas HM, Devakumar D, Sasidharan B, Bowen SR, Heck DK, Jebaseelan J, Samuel E. Institution: Department of Physics, School of Advanced Sciences, VIT University, Vellore, Tamil Nadu, India. Abstract: This paper presents an improved GrowCut (IGC), a positron emission tomography-based segmentation algorithm, and tests its clinical applicability. Contrary to the traditional method that requires the user to provide the initial seeds, the IGC algorithm starts with a threshold-based estimate of the tumor and a three- dimensional morphologically grown shell around the tumor as the foreground and background seeds, respectively. The repeatability of IGC from the same observer at multiple time points was compared with the traditional GrowCut algorithm. The algorithm was tested in 11 nonsmall cell lung cancer lesions and validated against the clinician-defined manual contour and compared against the clinically used 25% of the maximum standardized uptake value [SUV-(max)], 40% SUVmax, and adaptive threshold methods. The time to edit IGC-defined functional volume to arrive at the gross tumor volume (GTV) was compared with that of manual contouring. The repeatability of the IGC algorithm was very high compared with the traditional GrowCut (p = 0.003) and demonstrated higher agreement with the manual contour with respect to threshold-based methods. Compared with manual contouring, editing the IGC achieved the GTV in significantly less time (p = 0.11). The IGC algorithm offers a highly repeatable functional volume and serves as an effective initial guess that can well minimize the time spent on labor-intensive manual contouring. |
A) A representative example of the uncertainty volume observed with the 3D Slicer GrowCutMethod. (a) The lesion was delineated in three separate runs. There was variability with each run and the composite error in the variability calculated as the uncertainty volume is highlighted in green in (b). |
Pre-clinical Validation of Virtual Bronchoscopy using 3D Slicer
|
Publication: Int J Comput Assist Radiol Surg. 2017 Jan;12(1):25-38. PMID: 27325238 Authors: Nardelli P, Jaeger A, O'Shea C, Khan KA, Kennedy MP, Cantillon-Murphy P. Institution: School of Engineering, University College Cork, College Road, Cork, Ireland. Abstract: Purpose: Lung cancer still represents the leading cause of cancer-related death, and the long-term survival rate remains low. Computed tomography (CT) is currently the most common imaging modality for lung diseases recognition. The purpose of this work was to develop a simple and easily accessible virtual bronchoscopy system to be coupled with a customized electromagnetic (EM) tracking system for navigation in the lung and which requires as little user interaction as possible, while maintaining high usability. Methods: The proposed method has been implemented as an extension to the open-source platform, 3D Slicer. It creates a virtual reconstruction of the airways starting from CT images for virtual navigation. It provides tools for pre-procedural planning and virtual navigation, and it has been optimized for use in combination with a [Formula: see text] of freedom EM tracking sensor. Performance of the algorithm has been evaluated in ex vivo and in vivo testing. Results: During ex vivo testing, nine volunteer physicians tested the implemented algorithm to navigate three separate targets placed inside a breathing pig lung model. In general, the system proved easy to use and accurate in replicating the clinical setting and seemed to help choose the correct path without any previous experience or image analysis. Two separate animal studies confirmed technical feasibility and usability of the system. Conclusions: This work describes an easily accessible virtual bronchoscopy system for navigation in the lung. The system provides the user with a complete set of tools that facilitate navigation towards user-selected regions of interest. Results from ex vivo and in vivo studies showed that the system opens the way for potential future work with virtual navigation for safe and reliable airway disease diagnosis. |
Anatomical Study and Locating Nasolacrimal Duct on Computed Topographic Image
|
Publication: J Craniofac Surg. 2017 Jan;28(1):275-9. PMID: 27977487 Authors: Zhang S, Cheng Y, Xie J, Wang Z, Zhang F, Chen L, Feng Y, Wang G. Institution: Department of Endocrinology, First Hospital of Jilin University, Changchun, China. Abstract: Background: We performed a novel anatomical and radiological investigation to understand the structure of nasolacrimal duct (NLD) and to provide data to help surgeons locate the openings of NLD efficiently based on landmarks. Materials and Methods: We examined the NLD region using computed tomography images of 133 individuals and 6 dry skull specimens. Multiplanar reconstruction of the computed tomography images was performed, and the anatomical features of the NLD were studied in the coronal, sagittal, and axial planes. The long and short diameters of NLD were measured along its cross-section. The position of NLD was localized using the nostril, concha nasalis media, and medial orbital corner as landmarks. The free and open source software, 3D Slicer, was used for the segmentation of the NLD and 3D visualization of the superior and inferior openings of the NLD. Results: The length, angle, and diameter of NLD were significantly influenced by the age in females compared to those in males. The inferior opening of the NLD could be located efficiently using the nostril and the midsagittal line while the superior opening of NLD could be located using the medial orbital corner. Third, 3D Slicer enabled us to measure the distance between the skin and the bony structure in the image. Conclusion: Our study indicates that the sex and age of the patient should be considered while selecting the optimal NLD stent for a patient, and that the precise location of NLD in reference to landmarks can simplify the surgical difficulties and reduce the risk of injury during the transnasal operation. |
Open Wedge High Tibial Osteotomy using Three-Dimensional Printed Models: Experimental Analysis using Porcine Bone
|
Publication: Knee. 2017 Jan;24(1):16-22. PMID: 27876267 Authors: Kwun JD, Kim HJ, Park J, Park IH, Kyung HS. Institution: Department of Orthopaedic Surgery, School of Medicine, Kyungpook National University, Daegu, Republic of Korea. Abstract: Background: The purpose of this study was to evaluate the usefulness of three-dimensional (3D) printed models for open wedge high tibial osteotomy (HTO) in porcine bone. Methods: Computed tomography (CT) images were obtained from 10 porcine knees and 3D imaging was planned using the 3D Slicer program. The osteotomy line was drawn from the three centimeters below the medial tibial plateau to the proximal end of the fibular head. Then the osteotomy gap was opened until the mechanical axis line was 62.5% from the medial border along the width of the tibial plateau, maintaining the posterior tibial slope angle. The wedge-shaped 3D-printed model was designed with the measured angle and osteotomy section and was produced by the 3D printer. The open wedge HTO surgery was reproduced in porcine bone using the 3D-printed model and the osteotomy site was fixed with a plate. Accuracy of osteotomy and posterior tibial slope was evaluated after the osteotomy. Results: The mean mechanical axis line on the tibial plateau was 61.8±1.5% from the medial tibia. There was no statistically significant difference (P=0.160). The planned and post-osteotomy correction wedge angles were 11.5±3.2° and 11.4±3.3°, and the posterior tibial slope angle was 11.2±2.2° pre-osteotomy and 11.4±2.5° post-osteotomy. There were no significant differences (P=0.854 and P=0.429, respectively). Conclusion: This study showed that good results could be obtained in high tibial osteotomy by using 3D printed models of porcine legs. |
Go to 2020 :: 2019 :: 2018 :: 2017 :: 2016 :: 2015 :: 2014-2011:: 2010-2005



























